17/jun/2021
Estratégias para manutenção hemodinâmica do potencial doador em morte encefálica: revisão integrativa
DOI: 10.31744/einstein_journal/2021RW5630
RESUMO Objetivo Conhecer a produção científica sobre estratégias adotadas para a manutenção hemodinâmica de pacientes com morte encefálica. Métodos Revisão integrativa com artigos publicados entre 2007 e 2019, nas bases Scientific Electronic Library Online (SciELO), Literatura Latino-Americana e do Caribe em Ciências da Saúde (LILACS), PubMed®e ScienceDirect . Utilizaram-se os termos “Hemodinâmica AND Morte Encefálica” e “Hemodynamics AND Brain Death .” Os critérios de exclusão foram pesquisas não realizadas com seres humanos e literatura cinzenta. Resultados Listaram-se 21 artigos. Como […]
Palavras-chave: Cuidados de enfermagem; Hemodinâmica; Morte encefálica; Transplante de órgãos
15/abr/2021
Visão geral de miRNAs como diagnóstico não invasivo de endometriose: evidências, desafios e estratégias. Uma revisão sistemática
DOI: 10.31744/einstein_journal/2021RW5704
RESUMO Objetivo O objetivo do estudo foi analisar as evidências sobre miRNAs como biomarcadores para o diagnóstico de endometriose, bem como levantar informações sobre os desafios e as estratégias necessárias para tornar essas moléculas ferramentas acessíveis para uso na prática clínica. Métodos Revisão sistemática conduzida nos bancos de dados PubMed®, Literatura Latino-Americana e do Caribe em Ciências da Saúde (LILACS), MEDLINE® e Web of Science utilizando os termos de pesquisa “endometriosis” (todos os campos) AND “miRNA” (todos os campos), avaliando […]
Palavras-chave: Bancos de fluidos corpóreos; Biomarcadores; Endometriose/diagnóstico; Fluido vaginal; MicroRNAs; Saliva; Soro
09/abr/2021
Terapia com plasma convalescente em pacientes graves com COVID-19 nas fases avançadas dos ensaios clínicos e seus resultados preliminares
einstein (São Paulo). 09/abr/2021;19:eRW6186.
Ver Artigo09/abr/2021
Terapia com plasma convalescente em pacientes graves com COVID-19 nas fases avançadas dos ensaios clínicos e seus resultados preliminares
DOI: 10.31744/einstein_journal/2021RW6186
RESUMO O objetivo deste estudo foi destacar o esforço científico global para combater o SARS-CoV-2 abordando os resultados preliminares da imunização passiva por plasma convalescente. Foi realizada uma busca nas principais bases de dados dos protocolos de ensaios clínicos intervencionistas sobre transfusão de plasma convalescente em pacientes com COVID-19, bem como artigos publicados (n≥25), utilizando a seguinte estratégia de busca: [(COVID-19 OR SARS-CoV-2 OR nCoV-2019) AND (Convalescent plasma OR Plasma exchange) AND (Treatment OR Therapy)]. Um total de 24 protocolos […]
Palavras-chave: Betacoronavirus; COVID-19; Imunização; Imunização passiva; Infecções por coronavírus; Plasma; Plasma convalescente; SARS-CoV-2
01/abr/2021
Angioedema hereditário: como abordar na emergência?
DOI: 10.31744/einstein_journal/2021RW5498
RESUMO As crises de angioedema são causas comuns de atendimentos nas emergências, e devido ao potencial de gravidade, é importante que os profissionais que atuam nesses serviços conheçam suas causas e abordagem. Os mecanismos envolvidos no angioedema sem urticas podem ser histaminérgicos ou mediados por bradicinina. As causas mais comuns de angioedema mediado por histamina são alimentos, medicamentos, ferroada de insetos e idiopática. Quando o mediador é a bradicinina, os desencadeantes são os inibidores da enzima conversora de angiotensina e […]
Palavras-chave: Angioedema; Angioedemas hereditários; Asfixia; Bradicinina; Dor abdominal; Edema laríngeo; Emergências; Inibidor de C1
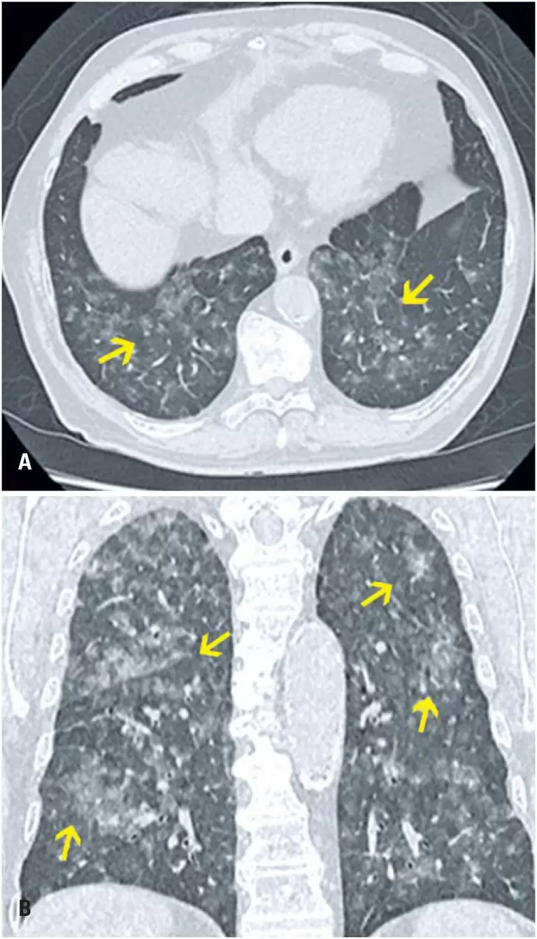
05/mar/2021
Diagnósticos diferenciais de opacidade em vidro fosco aguda na tomografia computadorizada de tórax: ensaio pictórico
einstein (São Paulo). 05/mar/2021;19:eRW5772.
Ver Artigo05/mar/2021
Diagnósticos diferenciais de opacidade em vidro fosco aguda na tomografia computadorizada de tórax: ensaio pictórico
DOI: 10.31744/einstein_journal/2021RW5772
RESUMO A opacidade em vidro fosco é uma alteração muito frequente e pouco específica na tomografia computadorizada de tórax. Ela admite grande leque de diagnósticos diferenciais no contexto agudo, desde pneumonias virais, como as causadas pelo vírus influenza, pela doença do coronavírus 2019 e pelo citomegalovírus, até mesmo lesões de origem não infecciosa, como vaping , infarto pulmonar, hemorragia alveolar e edema pulmonar. Para essa diferenciação diagnóstica, deve-se correlacionar o vidro fosco com os demais achados nos exames de imagem, […]
Palavras-chave: COVID-19; Diagnóstico diferencial; Infecções por coronavírus; Pandemia; SARS-CoV-2; Tomografia computadorizada por raios X; Tórax/diagnóstico por imagem
19/nov/2020
Efeitos do treinamento de marcha em esteira em idosos com doença de Parkinson: uma revisão da literatura
DOI: 10.31744/einstein_journal/2020RW5233
RESUMO A doença de Parkinson é o segundo distúrbio neurodegenerativo mais comum na velhice. O processo de envelhecimento de idosos com doença de Parkinson pode levar a distúrbios de marcha com mais incapacidades funcionais do que para idosos sem a doença. O treinamento em esteira como terapia pode resultar em efeitos notáveis na marcha de pacientes com Parkinson e ser um recurso para a reabilitação neurológica geriátrica. Esta revisão teve como objetivo estudar os efeitos da marcha após o treinamento […]
Palavras-chave: Doença de Parkinson/reabilitação; Idoso; Marcha
06/nov/2020
COVID-19 e o trato gastrintestinal: o que já sabemos?
DOI: 10.31744/einstein_journal/2020RW5909
RESUMO Com quase 17,5 milhões de infectados e 700 mil mortos até o início de agosto no mundo, a pandemia do novo coronavírus está marcando o ano de 2020. O agente causador da doença é o vírus SARS-CoV-2, e a transmissão é por via respiratória. Os infectados podem ser assintomáticos, apresentar sintomas típicos (febre, tosse seca e dispneia), sintomas gastrintestinais (diarreia, náusea, vômito e dor abdominal) e RNA viral nas fezes. O objetivo deste trabalho foi revisar a literatura relacionada […]
Palavras-chave: Betacoronavirus; COVID-19; Doenças gastrointestinais/etiologia; Infecções por coronavírus; SARS-CoV-2; Trato gastrointestinal
21/ago/2020
O papel da adiponectina na síndrome de isquemia e reperfusão: revisão de literatura
DOI: 10.31744/einstein_journal/2020RW5160
RESUMO A adiponectina, em meio a outras diversas adipocinas, é a produzida em maior quantidade e exerce efeitos no próprio tecido adiposo e em outros diversos tecidos do organismo. Dentre suas funções, a adiponectina apresenta três principais papéis: função metabólica regulatória e sensibilizadora da insulina no fígado e nos músculos atua como citocina anti-inflamatória e vasculoprotetora, além de exercer importante fator cardioprotetor na presença da síndrome de isquemia e reperfusão. Visto que inúmeras situações decorrentes de acidentes traumáticos ou patologias […]
Palavras-chave: Adiponectina; Isquemia; Traumatismo por reperfusão
23/jul/2020
Confiabilidade do questionário The International Fitness Scale : uma revisão sistemática e metanálise
DOI: 10.31744/einstein_journal/2020RW5232
RESUMO Objetivo Realizar uma revisão sistemática da literatura e metanálise para verificar se o questionário The International Fitness Scale apresenta boa confiabilidade na avaliação da aptidão física geral e seus componentes. Métodos A busca bibliográfica realizou-se nas bases de dados: PubMed®, BIREME, SciELO, EMBASE, SPORTDiscus, LILACS e Cochrane, a partir dos termos: “The International Fitness Scale ”, “ International Fitness Scale ” e “IFIS”. O processo de seleção e extração dos dados seguiram os critérios de elegibilidade: ser estudo de […]
Palavras-chave: Aptidão cardiorrespiratória; Aptidão física; Autorrelato; Força muscular; IFIS; The International Fitness Scale
07/jul/2020
Sintomas gastrintestinais e abordagem nutricional durante a pandemia de COVID-19: guia prático para pediatras
DOI: 10.31744/einstein_journal/2020RW5774
RESUMO A doença pelo coronavírus 2019 (COVID-19) é causada pelo coronavírus da síndrome respiratória aguda grave 2 (SARS-CoV-2) e foi amplamente disseminada em todo o mundo em proporções pandêmicas. Evidências crescentes sugerem que o sistema digestivo pode ser uma via potencial para a infecção pelo SARS-CoV-2, para a disseminação do vírus por via fecal-oral, e estar relacionado com vários sintomas gastrintestinais. Realizamos uma extensa revisão da literatura médica utilizando os bancos de dados MEDLINE® e Embase, com o objetivo de […]
Palavras-chave: Adolescente; Betacoronavirus; COVID-19; Criança; Doenças inflamatórias intestinais; Gastroenteropatias/etiologia; Infecções por coronavírus/complicações; SARS-CoV-2; Terapia nutricional
