5 resultados
27/nov/2019
DOI: 10.31744/einstein_journal/2019MD5157
RESUMO A elastografia, procedimento difundido em ultrassonografia convencional, foi recentemente incorporada à ecoendoscopia. Trata-se de tecnologia inovadora e promissora, que visa aumentar o valor preditivo negativo da ultrassonografia endoscópica e das punções aspirativas com agulha fina. É útil para o direcionamento das punções em áreas suspeitas e, consequentemente, melhora o rendimento diagnóstico. Trata-se de técnica não invasiva, de fácil realização, sem custos adicionais ou complicações. As principais indicações são para análise de massas pancreáticas sólidas, linfonodos, lesões subepiteliais, lesões em […]
Palavras-chave: Aspiração por agulha fina guiada por ultrassom endoscópico/métodos; Biópsia por agulha fina; Broncoscopia; Linfonodos; Mediastino; Ultrassonografia de intervenção
30/ago/2019
DOI: 10.31744/einstein_journal/2019MD4921
RESUMO A ultrassonografia endobrônquica é uma técnica minimamente invasiva que associa simultaneamente broncoscopia à ultrassonografia, com a finalidade de visualizar nódulos ou massas pulmonares, paredes das vias aéreas, e estruturas ao redor de toda a árvore traqueobrônquica. A ultrassonografia endobrônquica foi incorporada à prática clínica em todo o mundo devido a seu baixo risco e elevado rendimento diagnóstico em doenças neoplásicas e não neoplásicas.
Palavras-chave: Aspiração por agulha fina guiada por ultrassom endoscópico/métodos; Biópsia por agulha fina; Broncoscopia; Linfonodos; Mediastino; Ultrassonografia de intervenção
03/maio/2018
DOI: 10.1590/S1679-45082018AO4094
RESUMO Objetivo Descrever os resultados da utilização de punção aspirativa por agulha guiada por ultrassom endobrônquico na definição do diagnóstico em casos de lesões mediastinais por diferentes causas. Métodos Estudo transversal retrospectivo de pacientes submetidos à punção aspirativa por agulha guiada por ultrassom endobrônquico em instituição privada, entre junho de 2013 e outubro de 2016. Foram incluídos todos os casos referenciados para coleta de materiais de linfonodos ou massas peritraqueais/peribrônquicas por punção aspirativa por agulha guiada por ultrassom endobrônquico, estudados […]
Palavras-chave: Biópsia por agulha fina
03/maio/2018
DOI: 10.1590/S1679-45082018AO4094
RESUMO Objetivo Descrever os resultados da utilização de punção aspirativa por agulha guiada por ultrassom endobrônquico na definição do diagnóstico em casos de lesões mediastinais por diferentes causas. Métodos Estudo transversal retrospectivo de pacientes submetidos à punção aspirativa por agulha guiada por ultrassom endobrônquico em instituição privada, entre junho de 2013 e outubro de 2016. Foram incluídos todos os casos referenciados para coleta de materiais de linfonodos ou massas peritraqueais/peribrônquicas por punção aspirativa por agulha guiada por ultrassom endobrônquico, estudados […]
Palavras-chave: Aspiração por agulha fina guiada por ultrassom endoscópico/métodos; Biópsia por agulha fina; Broncoscopia; Linfonodos; Mediastino; Ultrassonografia de intervenção
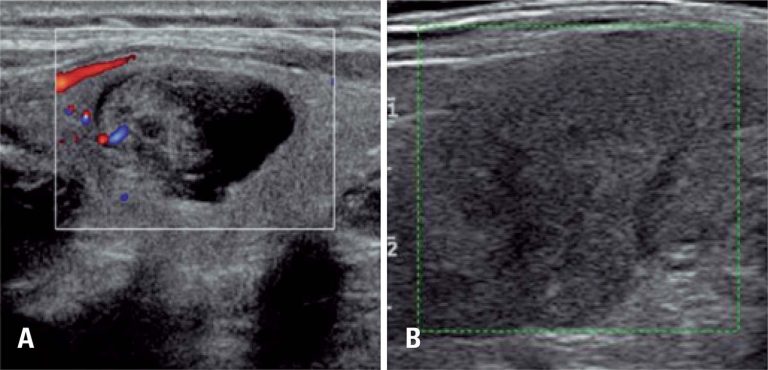
01/abr/2016
01/abr/2016
DOI: 10.1590/S1679-45082016AO3640
RESUMO Objetivo Apresentar a correlação entre o Thyroid Imaging Reporting and Data System (TI-RADS) e o sistema Bethesda, para relatar citopatologia em 1.000 nódulos tireoidianos. Métodos Estudo retrospectivo realizado no período de novembro de 2011 a fevereiro de 2014, que avaliou 1.000 nódulos tireoidianos de 906 pacientes submetidos a exame de ultrassonografia e à punção aspirativa por agulha fina. Resultados Observou-se associação significativa entre o TI-RADS e o resultado da classificação de Bethesda (p
Palavras-chave: Biópsia por agulha fina; Glândula tireoide/citologia; Glândula tireoide/ultrassonografia; Nódulo da glândula tireoide/classificação