einstein (São Paulo). 18/nov/2014;12(4):505-8.
Tumor neuroendócrino primário do fígado: descrição de caso e revisão da literatura
DOI: 10.1590/S1679-45082014RC2745
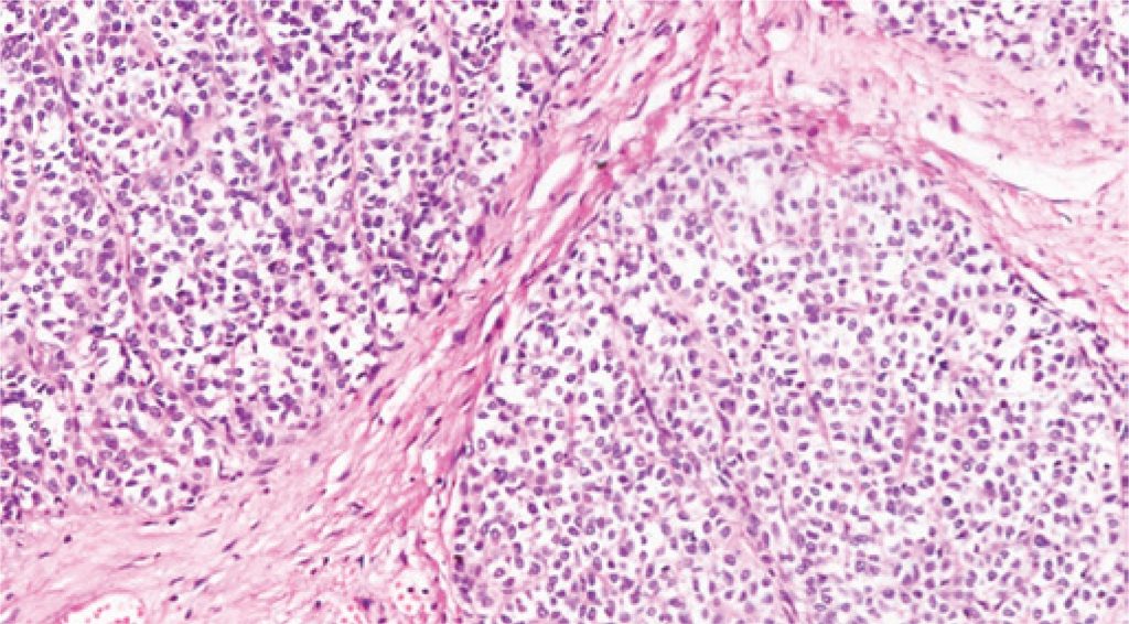
Tumores carcinoides primários do fígado são neoplasias derivadas de células neuroendócrinas produtoras de hormônios, extremamente raras e de difícil diagnóstico antes da biópsia, ressecção cirúrgica ou mesmo da necrópsia. Em recente publicação, descreveram-se apenas 94 casos dessa afecção. É uma doença sem predileção por sexo e que, aparentemente, não tem associação com cirrose, nem com doença hepática preexistente. O tratamento que se demonstra mais eficaz é a hepatectomia, cuja extensão da ressecção é determinada pelo tamanho e pela localização das lesões.
Palavras-chave: Neoplasias do fígado; Tumores neuroendócrinos/diagnóstico; Tumor carcinoide; Relatos de casos
2.267

