einstein (São Paulo). 19/jun/2019;17(3):eAO4635.
Tratamento crônico com extrato hidroalcoólico de Plathymenia reticulata promove hiperplasia de ilhotas e controle glicêmico em ratos diabéticos
DOI: 10.31744/einstein_journal/2019AO4635
RESUMO
Objetivo:
Avaliar o efeito anti-hiperglicêmico do extrato hidroalcoólico de Plathymenia reticulata, alterações no peso, lipídeos e efeito sobre o pâncreas.
Métodos:
O diabetes foi induzido pela administração de estreptozotocina 65mg/kg, em 75 ratos Wistar adultos machos, divididos em 8 grupos diferentes: ratos diabéticos e controle + água, ratos diabéticos e controle + 100mg/kg ou 200mg/kg de extrato, ratos diabéticos e controle + gliburida. O tratamento foi realizado por gavagem (oral) por 30 dias. Níveis de glicose e peso foram verificados semanalmente. Os animais foram sacrificados, e amostras de lipídeos e do pâncreas foram analisadas. A análise estatística incluiu ANOVA, post-hoc Tukey-Kramer, teste t de Student pareado e teste do χ2, com nível de significância de 5%.
Resultados:
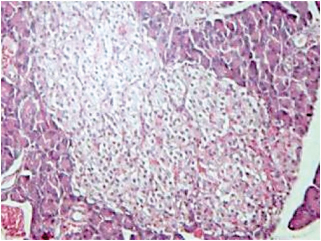
O extrato 100mg/kg promoveu redução nos níveis de glicose sanguínea em ratos diabéticos na segunda, terceira (198,71±65,27 versus 428,00±15,25) e quarta semanas (253,29±47,37 versus 443,22±42,72), perda de peso (13,22±5,70 versus 109,60±9,95) e diminuição do colesterol (58,75±3,13 versus 80,11±4,01) em ratos controle. Com extrato de 200mg/kg, houve redução dos níveis de glicose na quarta semana, nos ratos diabéticos; de peso na segunda, terceira e quarta semanas, nos ratos controle; e de colesterol nos animais diabéticos e controle. Ocorreram hiperplasia de ilhotas (p=0,005) e dilatação dos ductos pancreáticos (p=0,047) em ratos diabéticos e controles.
Conclusão:
O extrato de Plathymenia reduziu os níveis de glicose em ratos diabéticos e de peso em ratos controle, além de ter promovido hiperplasia de ilhotas pancreáticas em diabéticos e controles.
Palavras-chave: Plathymenia reticulata; Diabetes mellitus; Estreptozocina; Ilhotas pancreáticas; Extratos vegetais; Fabaceae; Pâncreas
413

