einstein (São Paulo). 18/maio/2022;20:eAO6851.
T2-weighted imaging hypointensity in an ovarian lesion: is it a benign finding?
DOI: 10.31744/einstein_journal/2022AO6851
ABSTRACT
Objective
To evaluate whether the presence of a hypointense signal at T2-weighted imaging in a solid ovarian lesion on magnetic resonance imaging is a predictor of stability and benignity.
Methods
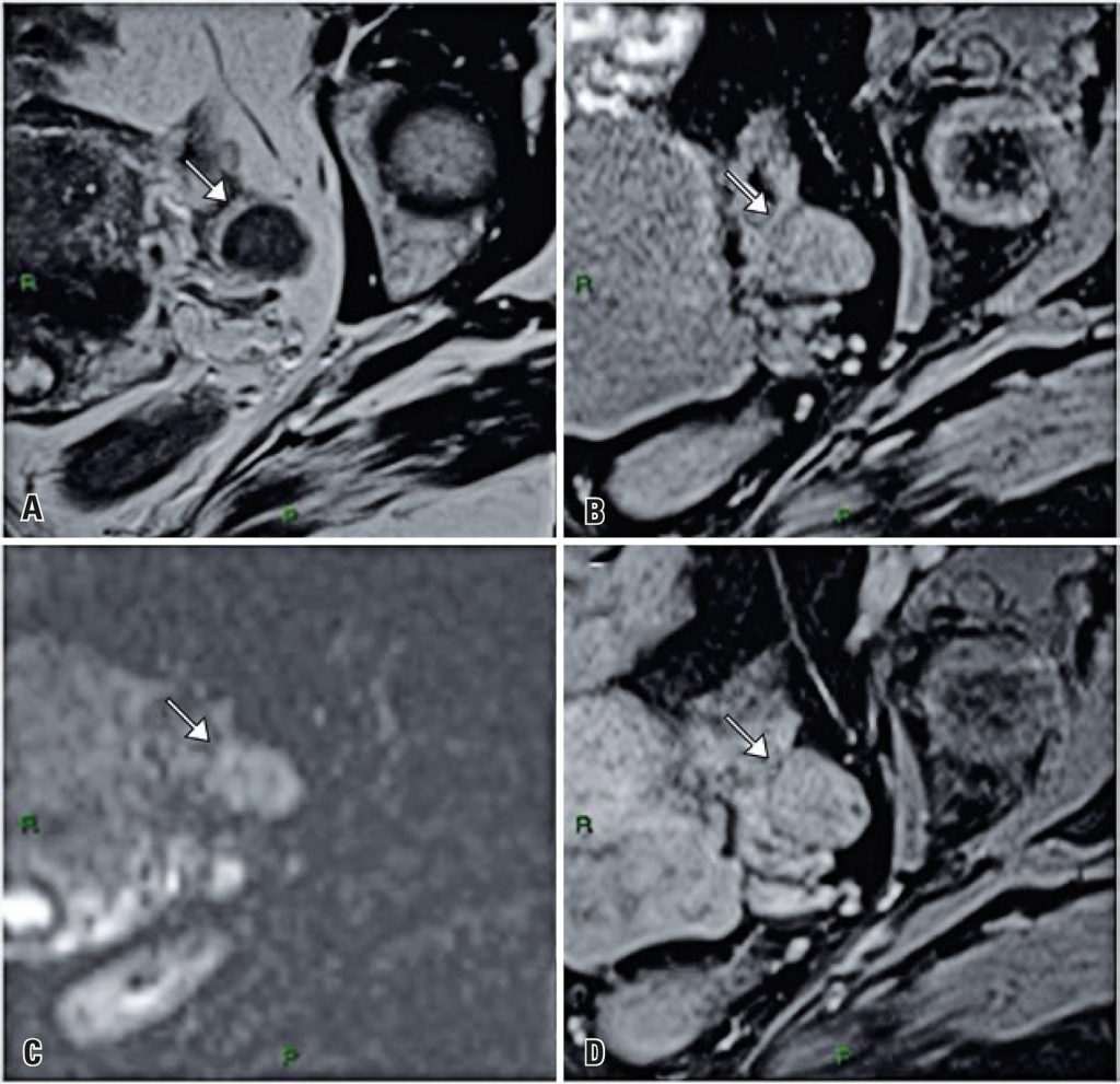
This is a single center study, prospectively read with retrospective acquired data. The database was searched for patients who underwent magnetic resonance imaging between January 2008 and October 2019 and whose reports mentioned solid ovarian lesions with low signal on T2-weighted imaging. A total of 47 nodules were included. A radiologist who was blinded to the clinical indication for magnetic resonance imaging and original reports evaluated the cases. Objective and subjective criteria of ovarian lesions in magnetic resonance imaging were evaluated.
Results
Thirty-five nodules were considered benign/stable and 12 were considered non-stable. The analysis showed that the non-stable lesions showed statistically more hyperintensity at T1-weighted imaging compared to the stable lesions.
Conclusion
T2-weighted imaging hypointensity can be considered a predictor of stability in solid ovarian lesions when associated with iso/hypointensity in T1-weighted imaging.
Palavras-chave: Ovarian neoplasms; Magnetic resonance imaging; Magnetic resonance spectroscopy; Algorithms
348

