einstein (São Paulo). 16/dez/2014;12(4):509-12.
O cisto sinovial hemorrágico lombar pode causar compressão radicular aguda? Relato de caso
DOI: 10.1590/S1679-45082014RC3008
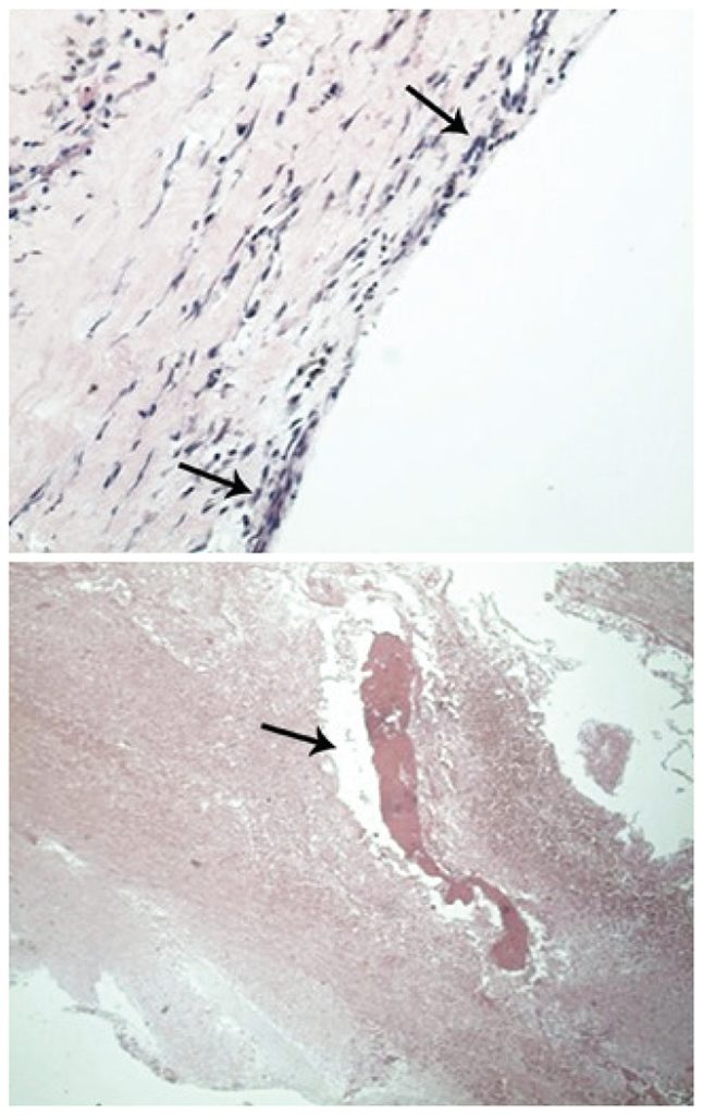
Cistos sinoviais da coluna lombar são uma causa incomum de dor na coluna e radiculopatia, geralmente com evolução gradual dos sintomas, que são secundários ao comprometimento do canal vertebral. Raramente, há hemorragia intracística, que pode se manifestar de forma aguda com síndrome compressiva radicular ou mesmo medular. Habitualmente, os cistos sinoviais associam-se a doença degenerativa facetária, embora a patogênese não esteja completamente estabelecida. Relatamos aqui um caso em que uma complicação hemorrágica em um cisto sinovial no nível L2-L3, adjacente à interfacetária direita, causou dor lombar e radiculopatia em um paciente em terapia anticoagulante, sendo necessária a ressecção cirúrgica.
3.600

