einstein (São Paulo). 01/jul/2010;8(3):329-35.
Novo modelo experimental de indução de cistite intersticial por estresse oxidativo utilizando instilação intravesical de gel doador de óxido nítrico
DOI: 10.1590/S1679-45082010AO1663
RESUMO
Objetivo:
O objetivo deste estudo foi o desenvolvimento de um modelo experimental para a indução de cistite intersticial, por meio da instilação vesical de uma solução polimérica de gel doador de óxido nítrico S-nitrosoglutationa (GSNO), e compará-lo ao modelo experimental para a indução da cistite intersticial por instilação vesical de protamina e cloreto de potássio.
Métodos:
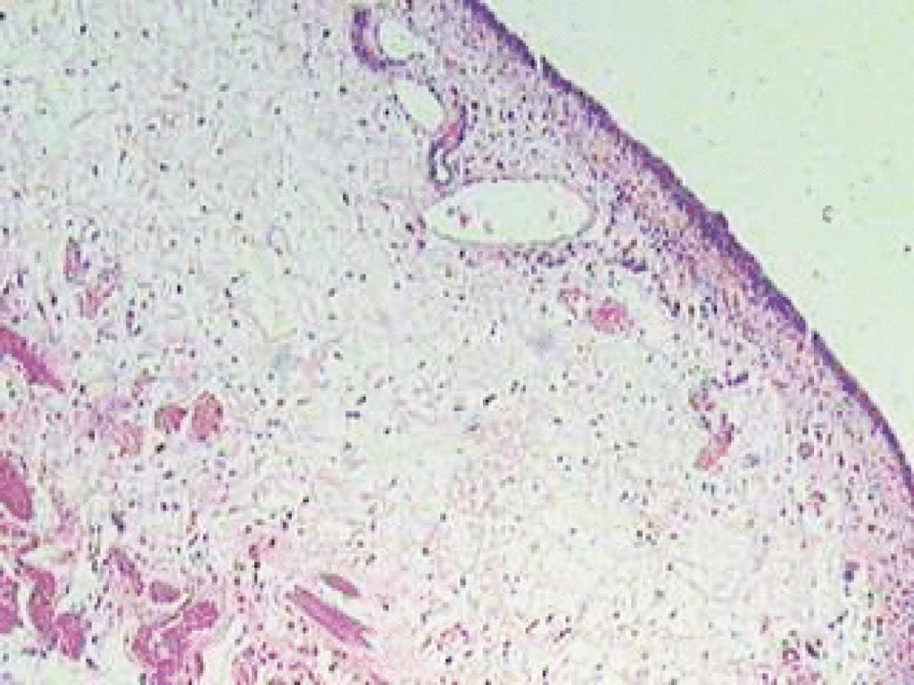
Foram utilizadas 40 ratas Wistar, divididas em quatro grupos: 1 – dez ratas tratadas com solução salina + GSNO; 2 – dez ratas tratadas com solução salina + solução de polímeros (sem GNSO); 3 – dez ratas tratadas com sulfato de protamina + KCl; 4 – dez ratas tratadas com sulfato de protamina + GSNO. As ratas receberam uma aplicação (cinco animais em cada grupo) ou três aplicações (cinco animais em cada grupo) da substância correspondente através de instilação vesical, e após seis dias (cinco animais em cada grupo) ou nove dias (cinco animais em cada grupo) foram sacrificadas, e a bexiga foi removida para exame macroscópico e estudo histológico.
Resultados:
Na avaliação macroscópica observou-se edema e hiperemia da mucosa em 2 animais (22%) do Grupo 1, em nenhum animal (0%) do Grupo 2, em 10 animais (100%) do Grupo 3, e em 5 animais (50%) do Grupo 4. No grupo protamina + KCl e no grupo solução salina + GSNO, observamos efeitos semelhantes sobre a parede da bexiga. Os animais do Grupo 2 (salina + polímeros) apresentaram significantemente menos congestão vascular que os dos outros grupos após 9 dias de instilação (p = 0,0035). Observou-se fibrose significante nos Grupos 3 e 4, 6 dias (p = 0,3781) e 9 dias (p = 0,0459) após as instilações, quando comparados com o grupo controle (Grupo 2). Todos os grupos apresentaram infiltrados neutrofílicos de intensidade variável, 6 dias após as instilações (p = 0,7277). Após 9 dias, observou-se regressão do infiltrado, sem evidência de acentuada reação neutrofílica em todos os grupos (p = 0,2301).
Conclusão:
A resposta inflamatória à instilação da bexiga com uma solução aquosa de S-nitroglutationa foi muito semelhante àquela induzida pela instilação de protamina e KCl. A instilação de uma solução aquosa de S-nitroglutationa pode ser considerada um novo modelo experimental para a indução da cistite intersticial.
261

