einstein (São Paulo). 01/out/2011;9(4):523-6.
Leiomiossarcoma primário de alto grau do pulmão
DOI: 10.1590/S1679-45082011RC1773
RESUMO
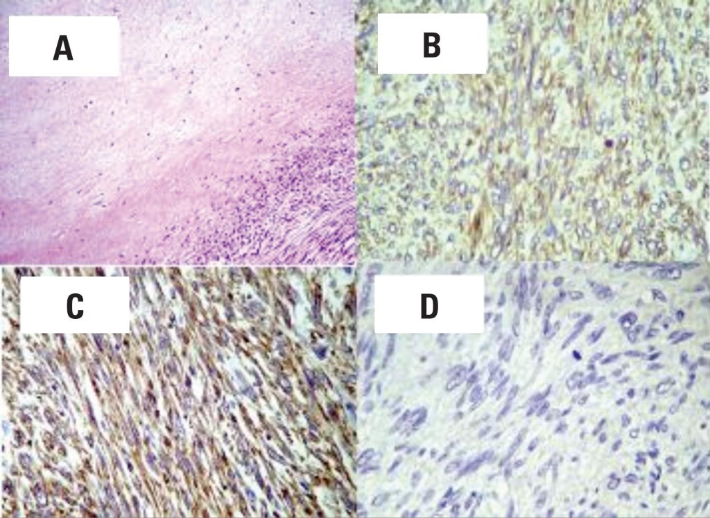
Os sarcomas primários do pulmão são raros e representam aproximadamente 0,5% de todas as neoplasias pulmonares. Havia aproximadamente 300 casos descritos na literatura até 2006. Todos os tipos histológicos foram relatados, sendo que os sarcomas intratorácicos mais comuns são o angiossarcoma, leiomiossarcoma, fibrossarcoma, hemangiopericitoma e rabdomiossarcoma. Devido à sua baixa frequência, o comportamento biológico desses tumores não é bem conhecido. O leiomiossarcoma é um dos subtipos mais encontrados no pulmão, e normalmente ocorre na sexta década de vida com predominância nos homens. Embora a frequência de doença metastática não esteja relacionada ao tamanho do tumor, o prognóstico é pior nos tumores de alto grau. Quando comparados a outros sarcomas, a sobrevida após a ressecção completa dos leiomiossarcomas de pulmão é mais prolongada. Relatamos o caso de um paciente com leiomiossarcoma primário de pulmão de origem brônquica tratado com ressecção completa e seguimento de longo prazo.
Palavras-chave: Leiomiossarcoma; Neoplasias pulmonares; Sarcoma; Relatos de casos
2.923

