einstein (São Paulo). 03/maio/2018;16(2):eRC4025.
Estudo clínico e imuno-histoquímico de tumor neuroectodérmico melanocítico da infância em maxila
DOI: 10.1590/S1679-45082018RC4025
RESUMO
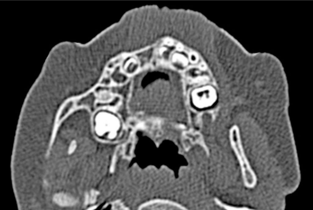
O tumor neuroectodérmico melanocítico da infância é uma neoplasia rara e de crescimento rápido. Neste estudo, relata-se o caso de uma paciente do sexo feminino de 6 meses de idade, que apresentou tumefação na região anterior de maxila. A reconstrução tomográfica revelou área unilocular hipodensa e expansiva associada ao incisivo central superior direito decíduo. Realizou-se biópsia incisional, considerando as hipóteses diagnósticas de cisto dentígero, tumor odontogênico adenomatoide, tumor neuroectodérmico melanocítico da infância e rabdomiossarcoma. Microscopicamente, a lesão revelou população celular bifásica, consistindo de células pequenas, ovoides, de aparência neuroblástica, e de células epitelioides, contendo melanina. A análise imuno-histoquímica demonstrou que o componente celular contendo melanina era positivo de forma intensa e difusa para HMB-45 e Melan-A, mas levemente positivo para S100. Com base nestes achados, foi estabelecido o diagnóstico definitivo de tumor neuroectodérmico melanocítico da infância. Em seguida, foi realizada a enucleação da lesão com curetagem cuidadosa. Após 2 anos de acompanhamento, não foram verificadas evidências clínicas ou radiográficas de recorrência. O presente caso destaca a importância do diagnóstico precoce e da intervenção terapêutica no momento apropriado, a fim de alcançar um desfecho favorável para o paciente.
885

