einstein (São Paulo). 01/out/2011;9(4):494-8.
Aspiração e alcoolização de endometriomas ovarianos recorrentes prévios ao tratamento de fertilização in vitro – estudo piloto
DOI: 10.1590/S1679-45082011AO2081
RESUMO
Objetivo:
Relatar a evolução da hiperestimulação ovariana controlada em mulheres com endometriomas ovarianos recorrentes tratados com escleroterapia.
Métodos:
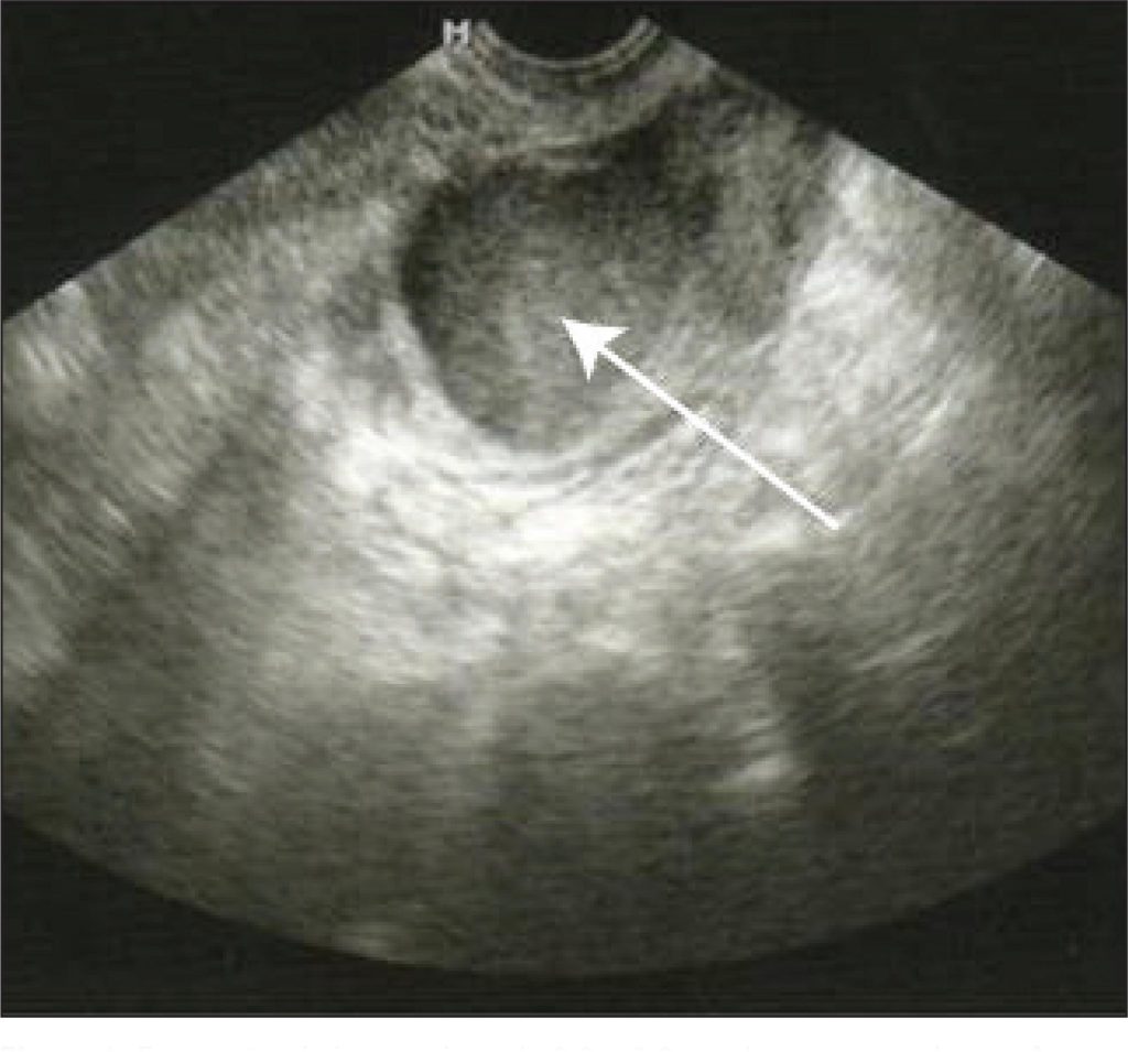
Foram estudadas 21 pacientes acompanhadas no ambulatório de reprodução humana com indicação de fertilização in vitro e diagnóstico laparoscópico de endometriose III ou IV que apresentavam endometrioma recidivado maior que 3 cm após a cirurgia. Foi realizado bloqueio prévio com análogo agonista de GnRH por pelo menos 20 dias, e os cistos foram submetidos à punção guiada por ultrassonografia e alcoolização subsequente. As pacientes foram estimuladas com 100 ou 200U/dia de hormônio folículo estimulante recombinante, com a dose variando de acordo com a idade ou ooforectomia unilateral prévia.
Resultados:
Os cistos ovarianos aspirados tinham em média 4,7 ± 1,4 cm e em nenhum caso a imagem se refez durante a indução da ovulação. A captação oocitária ocorreu, em média, após 11 dias de indução com 3,95 ± 3,30 oócitos por ciclo. Houve transferência embrionária em 71,4% (15/21) das pacientes, e a taxa de gravidez por transferência foi de 20% (3/15).
Conclusão:
A aspiração seguida da alcoolização previamente ao tratamento de fertilização in vitro pode ser uma opção para as pacientes com endometriomas recidivados e desejo reprodutivo.
Palavras-chave: Fertilização in vitro; Endometriose; Escleroterapia; Técnicas reprodutivas; Infertilidade
1.503

