einstein (São Paulo). 30/out/2015;14(1):104-5.
Uma lição aprendida: retrospectiva em um caso de pilomatricoma simulando neoplasia de parótida
DOI: 10.1590/S1679-45082015AI3096
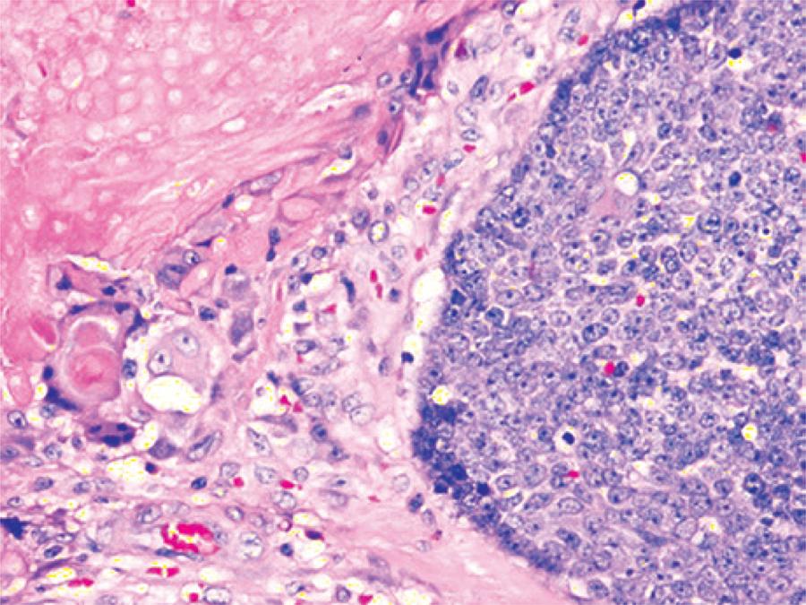
Paciente do sexo feminino, 10 anos, apresentando edema de crescimento leve e indolor na região pré-auricular esquerda observado por 2 anos (). A lesão era bocelada, indolor, firme na palpação, apresentava margens pouco definidas e media aproximadamente 3,5cm x 3,0cm. Além disso, o edema apresentava mobilidade restrita e parecia ter origem na parótida; a pele subjacente estava aparentemente esticada e fixa. A ultrassonografia, porém, não pôde delinear a profundidade e nem confirmar o envolvimento na parótida, apesar de a citologia aspirativa por agulha fina (CAAF) sugerir adenoma pleomórfico. Por essa razão, decidiu-se realizar parotidectomia superficial. A histopatologia, porém, revelou que a lesão tratava-se de um pilomatricoma; um tumor incomum benigno da derme/subderme e ectoderme. O pilomatricoma é expressão celular pluripotente no centro da matriz germinativa de folículos capilares com diferenciação das células corticais, sendo que a principal relevância de sua presença clínica é seu potencial para interpretação inadequada – com frequência de diagnóstico retrospectivo – resultando em intervenção agressiva desnecessária. Alguns estudos relataram diagnóstico pré-operatório em 1,1 a 29%.(,) Uma reanálise cuidadosa da imagem pré-operatória revelou tonalidade azulada sútil não observada, presumidamente, pela característica escurecida da pele, e o característico “sinal da tenda”() perceptível devido à superfície cutânea bocelada e esticada (). A CAAF é necessária para avaliação, porém frequentemente falha,() em razão de amostragem inadequada e não representativa da lesão com conteúdo celular complexo. Em exemplo típico, células basofílicas basaloides com citoplasma escasso e margens indistintas revestem células fantasmas/sombras anucleadas com citoplasma rico em material eosinofílico (), com áreas de queratinização, células gigantes e calcificação distrófica na matriz. Com o envelhecimento do tumor, as “células fantasmas” centrais aumentam, às custas das células basófilas periféricas. Portanto, a CAAF pode ter mais células basófilas em lesão em estágio recente enquanto os queratinócitos podem ser predominantes em estágios mais tardios, sendo interpretada, erroneamente, como tumor maligno em ambos os estágios.() O problema é complicado ainda mais em razão da parótida ser uma das áreas topográficas mais comuns com envolvimento do pilomatricoma na região de cabeça e pescoço,(,-) que também aumenta o dilema dos clínicos e patologistas já que o pilomatricoma é raramente considerado no diagnóstico diferencial para massa envolvendo essa região. Na verdade, há relatos de que a CAAF dessas lesões sugeriu neoplasia da parótida,() ou mesmo lesões malignas metastáticas.() Em razão dos cirurgiões se basearem amplamente na citologia em casos de suspeita clínica de tumores na parótida, tal abordagem tem resultado em tratamentos cirúrgicos mais agressivos.(,,)
[…]
219

