einstein (São Paulo). 07/nov/2023;21:eRC0544.
Robotic approach to remove four tailgut cyst cases in Brazil: a case series
DOI: 10.31744/einstein_journal/2023RC0544
ABSTRACT
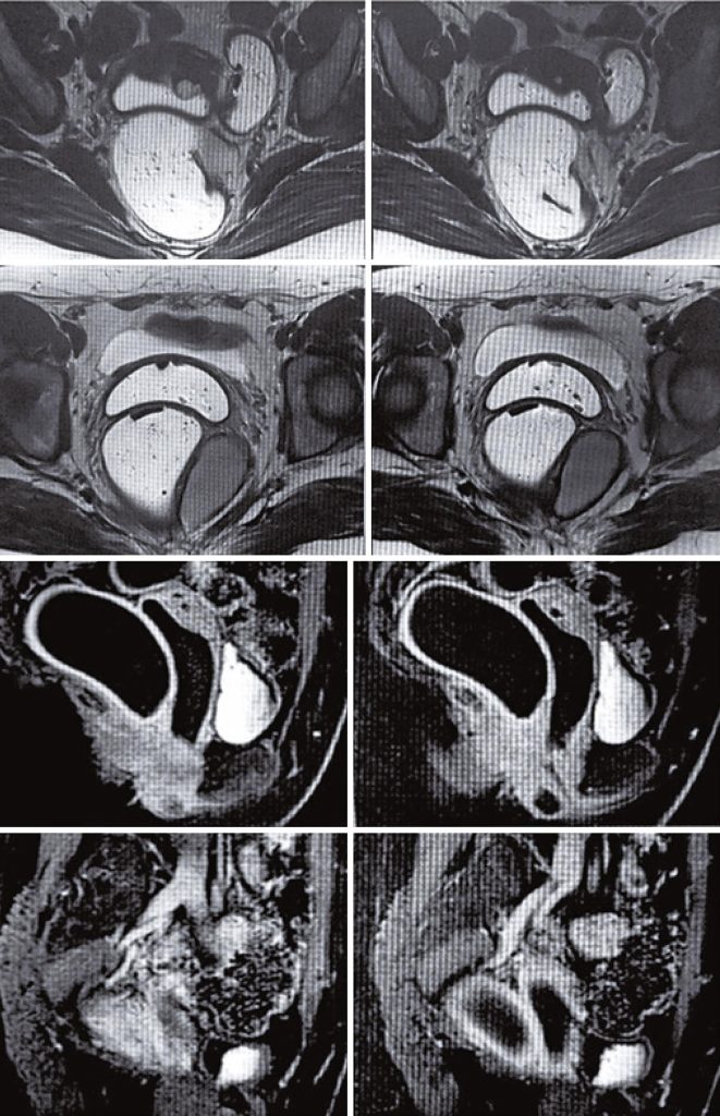
Tailgut cysts are rare congenital lesions that are remnants of the embryonic hindgut. This abnormality presents with non-specific symptoms or no symptoms; therefore, misdiagnosis is common. Here, we present four cases of tailgut cysts that were successfully removed using a robotic surgical approach. A 42-year-old woman with tenesmus, pain in the right gluteal region, and discomfort in the rectal region during evacuation was referred to our medical center. Another patient was a 28-year-old woman who presented with the same symptoms to our general practitioner. Both patients underwent upper abdominal and pelvic magnetic resonance imaging that revealed a tailgut cyst. Further, a 36-year-old woman was referred with coccyx and hypogastric pain. Magnetic resonance imaging revealed two pararectal cystic formations. She underwent robot-assisted surgery, and after analysis by a pathologist, the conclusion was that the tailgut cyst was associated with scarring fibrosis. A 55-year-old woman with posterior epigastric pelvic pain associated with heartburn underwent robot-assisted surgery to resect a retroperitoneal tumor. These cases highlighted the importance of tailgut cysts in the differential diagnosis of rectal lesions. Surgical treatment is preferred because malignant transformations can occur. The difference between laparoscopic and robotic approaches is the better visualization and stability of the latter, inducing less tissue damage. Robotic resection is a safe procedure, especially in patients with a narrow pelvis, because it reduces tissue damage.
Palavras-chave: Cysts; Rectal neoplasms; Congenital abnormalities; Robotic surgical procedures; Margins of excision
212

