einstein (São Paulo). 01/abr/2011;9(2 Pt 1):247-8.
Megacariócitos
DOI: 10.1590/S1679-45082011AI2023
O
s
[…]
342
Silveira PAA, Velloso EDRP, Colombini MP, Guerra JCC, Bacal NS, Bezerra AMPS, Pasqualin DC. Megacariócitos. Einstein (São Paulo) 2011;9(2 Pt 1):247-8. https://doi.org/10.1590/S1679-45082011AI2023
Silveira, Paulo Augusto Achucarro; Velloso, Elvira Deolinda Rodrigues Pereira; Colombini, Marjorie Paris; Guerra, João Carlos de Campos; Bacal, Nydia Strachman; Bezerra, Alanna Mara Pinheiro Sobreira; Pasqualin, Denise da Cunha. Megacariócitos. Einstein (São Paulo), v. 9, n. 2 Pt 1, p. 247-248, abr. 2011. https://doi.org/10.1590/S1679-45082011AI2023
Silveira, P. A. A., Velloso, E. D. R. P., Colombini, M. P., Guerra, J. C. C., Bacal, N. S., Bezerra, A. M. P. S., & Pasqualin, D. C. (2011). Megacariócitos. Einstein (São Paulo), 9(2 Pt 1), 247-248. https://doi.org/10.1590/S1679-45082011AI2023
Silveira, Paulo Augusto Achucarro and Velloso, Elvira Deolinda Rodrigues Pereira and Colombini, Marjorie Paris and Guerra, João Carlos de Campos and Bacal, Nydia Strachman and Bezerra, Alanna Mara Pinheiro Sobreira and Pasqualin, Denise da Cunha. Megacariócitos. Einstein (São Paulo) [online]. 2011, vol. 9, n. 2 Pt 1, [cited 2026-02-25], pp.247-248. Available from: <https://journal.einstein.br/pt-br/article/megacariocitos/>. ISSN 1679-4508. https://doi.org/10.1590/S1679-45082011AI2023

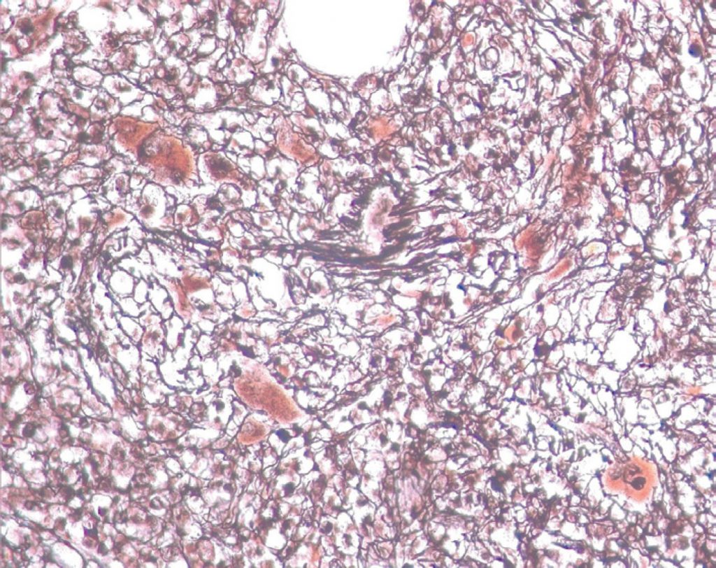
Mielofibrose acentuada, evidenciada por coloração específica (impregnação pela prata), mostrando megariócitos distorcidos de permeio a traves espessadas de reticulina

Mielofibrose acentuada, evidenciada por coloração específica (impregnação pela prata), mostrando megariócitos distorcidos de permeio a traves espessadas de reticulina