einstein (São Paulo). 21/jul/2022;20:eAO0011.
Impact of passive smoking on renal vascular morphology
DOI: 10.31744/einstein_journal/2022AO0011
ABSTRACT
Objective
To determine whether passive smoking causes morphological and structural changes in the arcuate arteries of rats exposed for 7 to 28 days.
Methods
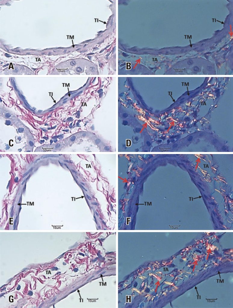
Wistar rats aged eight weeks and weighing 260g on average were allocated to a Control or a Smoker Group. Groups were further divided into 4 groups containing 5 animals each. Morphological-functional analysis of the right kidneys was carried out after 7 and 28 days of exposure to the smoke of 40 cigarettes per day. Cigarettes were burned at set times using automated cigarette-burning equipment (“Smoking Machine” – SM-MC-01). At the end of each exposure period, the kidneys were dissected and submitted to histological processing for morphological and quantitative analysis.
Results
Exposure to cigarette smoke for 7 days led to a decrease in inner vascular diameter. Decreased thickness of the vascular tunica media was observed after exposure for 28 days. Increased thickness of the tunica adventitia, increased total vascular wall thickness, increased total vascular diameter and qualitative increase in collagen deposition were observed. Vascular volume increased after 28 days of exposure.
Conclusion
Passive smoking has a negative impact on renal vasculature.
Palavras-chave: Tobacco smoke pollution; Endothelium; Tunica media; Adventitia; Collagen; Kidney cortex
217

