2 resultados
21/jul/2022
DOI: 10.31744/einstein_journal/2022AO0011
ABSTRACT Objective To determine whether passive smoking causes morphological and structural changes in the arcuate arteries of rats exposed for 7 to 28 days. Methods Wistar rats aged eight weeks and weighing 260g on average were allocated to a Control or a Smoker Group. Groups were further divided into 4 groups containing 5 animals each. Morphological-functional analysis of the right kidneys was carried out after 7 and 28 days of exposure to the smoke of 40 cigarettes per day. Cigarettes […]
Palavras-chave: Túnica adventícia; Colágeno; Endothelium; Córtex renal; Tobacco smoke pollution; Tunica media
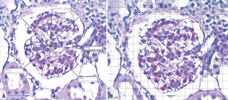
25/out/2021
DOI: 10.31744/einstein_journal/2021AO6000
RESUMO Objetivo Analisar se a inalação passiva da fumaça do cigarro proporciona alterações morfológicas, estruturais e funcionais nos rins de ratos. Métodos Ratos Wistar, com oito semanas de idade, pesando, em média, 260g, foram divididos em Grupo Controle e Grupo Tabagista. Cada grupo foi subdividido em quatro grupos de dez animais para análise morfofuncional, em um período de sete e 28 dias. O Grupo Tabagista foi exposto à fumaça de 40 cigarros por dia, em horários determinados e equipamento automatizado […]
Palavras-chave: Células mesangiais; Córtex renal; Glomérulos renais; Nefropatias diabéticas; Poluição por fumaça de tabaco; Ratos Wistar; Taxa de filtração glomerular