einstein (São Paulo). 25/fev/2019;17(2):eAI4506.
Hipertrofia idiopática do masseter: a propósito de um caso clínico
DOI: 10.31744/einstein_journal/2019AI4506
A hipertrofia idiopática do masseter é uma patologia rara, caracterizada por aumento uni ou bilateral deste músculo, por vezes associada à exostose do ângulo mandibular.() A etiologia é desconhecida, com possível relação com esforços mastigatórios unilaterais, má oclusão dentária, disfunção da articulação temporomandibular, bruxismo ou perturbações emocionais.(,) O diagnóstico é fundamentalmente clínico, complementado com ecografia e eventual recurso à ressonância magnética.() É importante o diagnóstico diferencial com tumores ou processos inflamatórios musculares, ósseos e das glândulas salivares.()
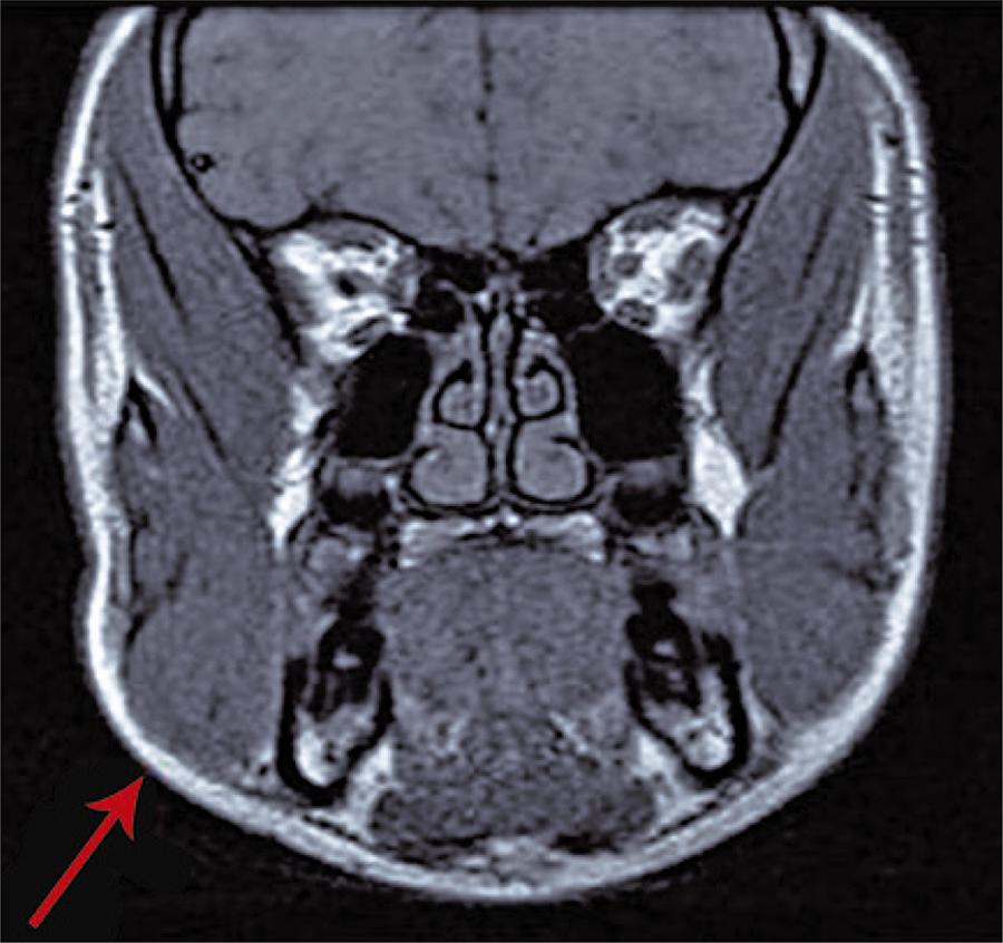
Apresenta-se o caso de uma adolescente, 15 anos, sexo feminino, com antecedentes pessoais irrelevantes, observada no Serviço de Urgência por tumefação mandibular direita, indolor, com 3 meses de evolução e agravamento progressivo. Sem história prévia de traumatismo facial, trismus, sintomas constitucionais ou doença periodontal. À observação (), apresentava assimetria facial, com tumefação no ângulo mandibular direito, mais evidente com oclusão mandibular, palpando-se massa de 4cm de maior eixo, indolor, consistência elástica, com área sobreposta de maior consistência, de 2cm de diâmetro e aderente ao osso. Avaliação analítica sem alterações, com parâmetros inflamatórios e serologias virais negativas. Sem alterações detectáveis em ecografia das glândulas salivares, tendo realizado ressonância magnética da face () que demonstrava assimetria facial envolvendo o músculo masseter e glândula parótida direitos, sem patologia intrínseca, consistente com hipertrofia do masseter. A adolescente foi encaminhada para consulta de cirurgia pediátrica, para eventual cirurgia estética.
[…]
2.270

