einstein (São Paulo). 06/abr/2018;16(1):eRC4037.
Fratura periprotética após artroplastia reversa do ombro. Relato de caso
DOI: 10.1590/S1679-45082017RC4037
RESUMO
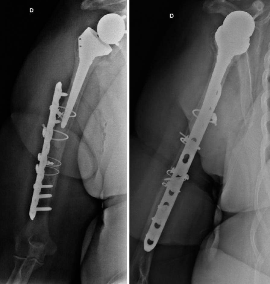
As fraturas periprotéticas do ombro representam uma grave complicação após a substituição da articulação. Devido ao rápido aumento do número de cirurgias de artroplastia reversa no ombro, as fraturas periprótese do úmero, descritas como raras, podem aumentar no futuro próximo. Descrevemos um caso de fratura desviada do úmero abaixo do componente umeral de uma artroplastia reversa. A paciente era uma mulher de 85 anos de idade, que tinha uma artroplastia reversa do ombro há 6 anos. O tratamento cirúrgico consistiu em osteossíntese com placa, parafusos e cerclagem. Os objetivos do presente trabalho foram reportar um caso inédito na literatura brasileira, e revisar a literatura existente e as classificações da lesão.
Palavras-chave: Fraturas do úmero; Artroplastia; Relatos de casos
1.481

