einstein (São Paulo). 06/abr/2018;16(1):eAO4065.
Expressão da proteína survivina em carcinoma ductal in situ de mama de alto e de baixo grau
DOI: 10.1590/S1679-45082018AO4065
RESUMO
Objetivo
Avaliar a imunoexpressão da proteína survivina nos carcinomas ductais in situ de mama de baixo e de alto graus.
Métodos
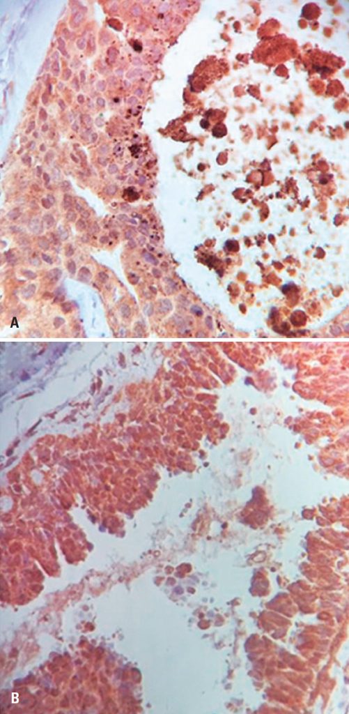
Fragmentos de tecido mamários obtidos por biópsia incisional e procedimentos cirúrgicos de 37 mulheres acometidas por carcinoma ductal in situ de mama foram subdivididos em dois grupos: Grupo A, formado por mulheres com carcinoma ductal in situ de baixo grau; e Grupo B, por mulheres com carcinoma ductal in situ de alto grau. A pesquisa de expressão da proteína survivina foi realizada pela técnica de imuno-histoquímica, utilizando-se anticorpo monoclonal clone I2C4. O critério de avaliação da imunoexpressão da survivina baseou-se na percentagem de células neoplásicas que apresentava coloração castanho-dourada. Considerouse tal critério positivo quando a percentagem de células apresentasse marcação ≥10%.
Resultados
A proteína survivina apresentou-se expressa em 22 dos 24 casos de carcinoma ductal in situ de alto grau (78%), enquanto no Grupo A, de carcinoma ductal in situ de baixo grau (n=13), apresentou-se positiva em apenas 6 casos (21,40%; p=0,004).
Conclusão
O índice de frequência de expressão da survivina foi significativamente mais elevado no grupo de pacientes com carcinoma ductal in situ de alto grau, quando comparado às do grupo com carcinoma ductal in situ de baixo grau.
929

