einstein (São Paulo). 19/nov/2020;18:eRC4641.
Episódios de vômitos em recém-nascidos como consequência de membrana duodenal: relatos de dois casos
DOI: 10.31744/einstein_journal/2020RC4641
RESUMO
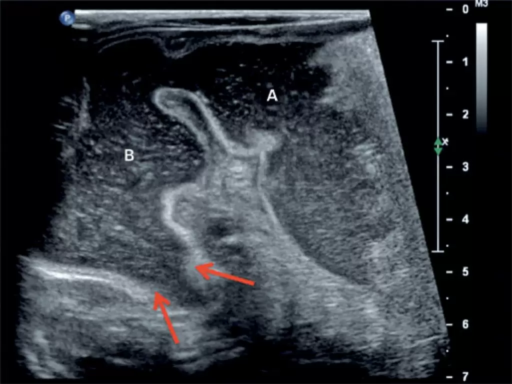
Episódios de vômito em recém-nascidos são extremamente comuns e frequentemente atribuídos a refluxo gastresofágico. Os sintomas de vômito, no entanto, podem ser causados por outras complicações. Neste relato, apresentamos dois casos: um lactente masculino, com 1 mês de idade, e um feminino, com 2 meses, ambos apresentando episódios de vômitos que levaram à desnutrição. Alguns pediatras costumam atribuir o diagnóstico de refluxo gastresofágico a recém-nascidos que estão vomitando; mas parcela da população tem outras causas que levam a sintomas semelhantes. O pediatra deve estar atento aos sinais clínicos de perda de peso, desidratação e desnutrição, para investigar outras causas de vômitos.
Palavras-chave: Membrana duodenal; Refluxo gastroesofágico; Desnutrição; Crianças
1.135

