einstein (São Paulo). 01/out/2015;13(4):574-9.
Efeitos do exercício físico sobre a cartilagem de ratas ooforectomizadas submetidas à imobilização
DOI: 10.1590/S1679-45082015AO3418
RESUMO
Objetivo
Analisar os efeitos do exercício físico sobre a histomorfometria da cartilagem de ratas induzidas à osteoporose e submetidas à imobilização.
Métodos
Foram utilizadas 36 ratas Wistar separadas em seis grupos: G1, G2 e G3 submetidas à pseudo-ooforectomia e G4, G5 e G6, à ooforectomia. Após 60 dias em repouso, G2, G3, G5 e G6 tiveram o membro posterior direito imobilizado por 15 dias, seguido pelo mesmo período em remobilização, sendo livres na caixa para G2 e G5, e de subida em escada para G3 e G6. Ao final do experimento, as ratas foram eutanasiadas, e suas tíbias foram retiradas bilateralmente e submetidas à rotina histológica.
Resultados
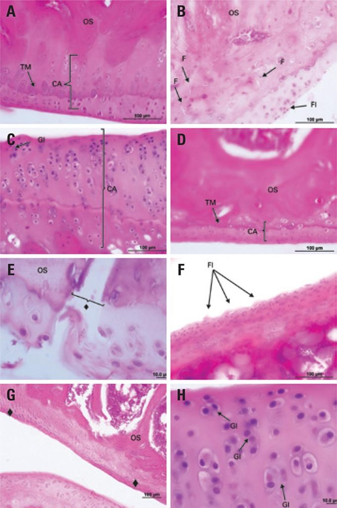
Houve aumento significativo de espessura da cartilagem articular (F(5;29)=13,88; p<0,0001) e da placa epifisária (F(5;29)=14,72; p<0,0001), bem como do número de condrócitos (F(5;29)=5,11; p<0,0021) em ratas ooforectomizadas, imobilizadas e submetidas ao exercício em escada. Nas análises morfológicas, verificaram-se degeneração da cartilagem articular com exposição de osso subcondral, perda da organização celular, descontinuidade da tidemark, presença de fissuras e floculações em ratas ooforectomizadas, imobilizadas e com remobilização livre. Nas ratas ooforectomizadas, imobilizadas e com remobilização em escada, observaram-se sinais de reparação das estruturas cartilaginosas com presença de clones, pannus, invasão de vasos sanguíneos subcorticais na zona calcificada, aumento da quantidade de grupos isógenos e espessura da zona calcificada.
Conclusão
O exercício físico de subida em escada mostrou-se efetivo no processo de recuperação do tecido cartilaginoso danificado pela imobilização, em modelo de osteoporose por ooforectomia em ratas.
Palavras-chave: Osteoporose; Imobilização; Terapia por exercício; Modalidades de fisioterapia; Ratos Wistar
191

