einstein (São Paulo). 01/abr/2015;13(2):326-9.
Aplicações do contraste hepato-específico de ressonância magnética nas hepatopatias crônicas
DOI: 10.1590/S1679-45082015RW3159
RESUMO
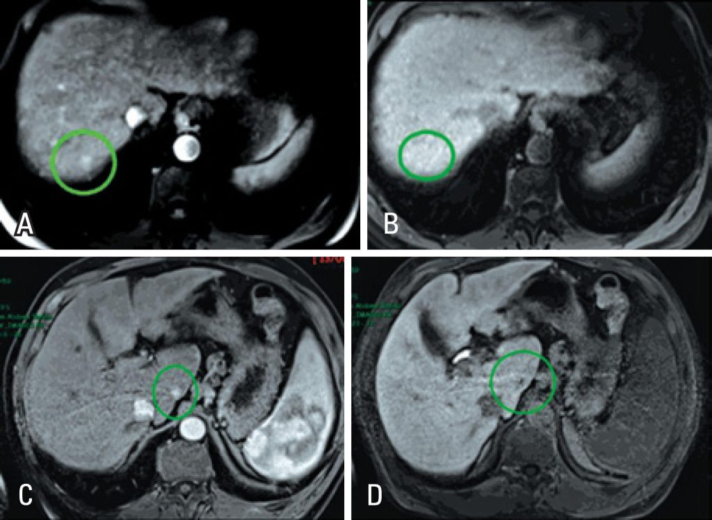
O contraste hepato-específico (ácido gadoxético – Primovist®) tem como utilidade principal melhorar a detecção e a caracterização de lesões hepáticas focais, por exemplo, em hepatopatas crônicos com suspeita de hepatocarcinoma. Por apresentar captação seletiva por hepatócitos funcionantes na fase hepatobiliar tardia, auxilia na detecção de hepatocarcinomas típicos – a maioria dos quais apresentando hipossinal nessa fase. Essa característica de imagem também auxilia na diferenciação entre nódulos regenerativos/ displásicos e hepatocarcinomas precoces (com mais de 90% de acurácia), e entre hepatocarcinomas hipervascularizados e focos de pseudorrealce arterial. Perspectivas futuras promissoras incluem sua utilização na quantificação de função e de fibrose hepáticas.
19.872

