einstein (São Paulo). 21/nov/2018;16(4):eRC4505.
Anemia ferropriva grave como manifestaçao inicial de hemossiderose pulmonar em criança
DOI: 10.31744/einstein_journal/2018RC4505
RESUMO
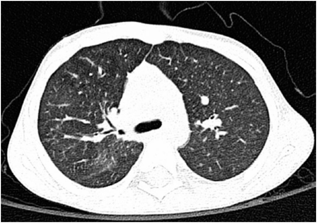
A hemossiderose pulmonar idiopática é uma doença potencialmente fatal que cursa com episódios de hemorragia alveolar de etiologia desconhecida. As manifestações clínicas são variadas, e a anemia pode constituir o único sinal de doença, precedendo em vários meses os outros sinais e sintomas. Apresenta-se o caso de criança de 4 anos, com febre, vômitos e prostração, associados à palidez. Apresentava anemia microcítica e hipocrômica, refratária à terapêutica com ferro. A hipótese diagnóstica de sangramento gastrintestinal foi excluída, após investigação etiológica extensa, inconclusiva. Posteriormente, em radiografia torácica, foram observados infiltrados sugestivos de hemorragia alveolar. O exame citológico do lavado broncoalveolar mostrou macrófagos com depósitos de hemossiderina. Após estudo etiológico, assumiu-se, por exclusão, o diagnóstico de hemossiderose pulmonar idiopática. Foi iniciada terapêutica com corticoides, associada posteriormente a imunossupressor, com correção subsequente da anemia e do padrão radiológico, encontrando-se, atualmente, assintomático.
Palavras-chave: Anemia; Deficiência de ferro; Pneumopatias; Hemossiderose; Criança
2.441

