3 resultados
21/out/2024
21/out/2024
DOI: 10.31744/einstein_journal/2024AO0719
Highlights Hand reanimation for finger flexion during total paralysis remains a reconstructive challenge. Few surgical options are available for the late presentation of total paralysis of the hand and wrist. Functional freemuscle flap or transfer of the recovered biceps to the long flexors of the digits and flexor pollicis longus may be the last resort. Each case should be evaluated individually to select the best surgical option. ABSTRACT Objective: Hand reanimation for finger flexion in patients with total paralysis remains […]
Palavras-chave: Axila; Músculos; Paralisia; Recovery of function; Transferência tendinosa; Tendons; Resultado de tratamento; Upper extremity
13/set/2021
13/set/2021
DOI: 10.31744/einstein_journal/2021AO6001
RESUMO Objetivo: Avaliar os efeitos da terapia de fotobiomodulação no estado redox, no marcador de angiogênese – fator de crescimento endotelial vascular – e na recuperação funcional do músculo desnervado. Métodos: Um total de 32 ratas Wistar foi submetido a uma lesão por esmagamento e dividido aleatoriamente em quatro grupos: Grupo Diodo Emissor de Luz 2 e Grupo Controle 2 (músculo coletado 2 dias após a lesão), além do Grupo Diodo Emissor de Luz 21 e do Grupo Controle 21 […]
Palavras-chave: Estresse oxidativo; Fatores de crescimento do endotélio vascular; Força muscular; Fototerapia; Lesões por esmagamento; Músculos; Ratos Wistar
10/set/2018
10/set/2018
DOI: 10.1590/S1679-45082018AO4206
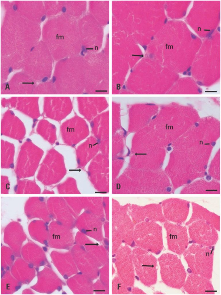
RESUMO Objetivo: Avaliar os efeitos da compressão nervosa do isquiático direito e da crioterapia no tecido muscular. Métodos: Foram utilizados 42 ratos Wistar machos, subdivididos nos Grupos Controle, Lesão 3, Lesão 8 e Lesão 15, submetidos a compressão nervosa e eutanasiados, respectivamente, no 3°, 8° e 15° dias pós-operatório; Lesão Crioterapia 3, tratado com crioterapia, por imersão durante 20 minutos, por 1 dia, e eutanasiados no 3° dia pós-operatório; e Lesão Crioterapia 8 e Lesão Crioterapia 15, tratados durante 6 […]
Palavras-chave: Compressão nervosa; Crioterapia; Músculos; Ratos Wistar