einstein (São Paulo). 23/out/2025;23:eRC1460.
Complex diagnosis and management of metastatic esophagogastric junction adenocarcinoma with colonic and meningeal involvement
DOI: 10.31744/einstein_journal/2025RC1460
ABSTRACT
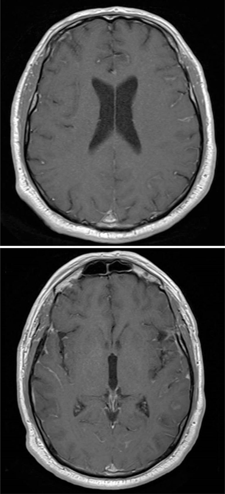
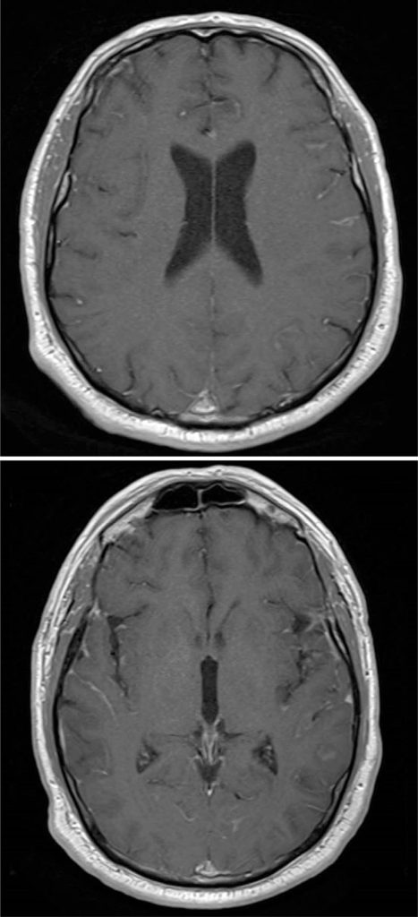
This report presents a case of a 59-year-old male diagnosed with metastatic esophagogastric junction adenocarcinoma, who presented with mild dysphagia and vertigo. Brain magnetic resonance imaging initially showed no abnormalities. Upper gastrointestinal endoscopy revealed a vegetative lesion in the distal esophagus, and concurrent colonoscopy identified a laterally-spreading tumor in the transverse colon. Immunohistochemistry confirmed a poorly differentiated adenocarcinoma, suggesting an upper gastrointestinal origin. Further investigation of the worsening neurological symptoms led to the identification of leptomeningeal carcinomatosis via cerebrospinal fluid analysis. Somatic genetic testing detected TP53 mutations and CDK6 amplification; however, no germline mutations were identified. The patient received first-line treatment with 5-fluorouracil, leucovorin, oxaliplatin, and nivolumab, followed by whole-brain radiotherapy due to rapid progression of the leptomeningeal disease. Despite aggressive treatment, the patient experienced multiple complications, including pulmonary embolism and seizures, and died from disease progression after six cycles of therapy. This case highlights the diagnostic challenges and poor prognosis of metastatic esophagogastric junction adenocarcinomas with de novo meningeal and colonic involvement and underscores the importance of early diagnosis and comprehensive evaluation of atypical presentations to optimize patient management.
70

