einstein (São Paulo). 01/jan/2017;15(1):77-84.
Salto em meio aquático após compressão de nervo isquiático: avaliação nociceptiva e características morfológicas do músculo sóleo de ratos Wistar
DOI: 10.1590/S1679-45082017AO3613
RESUMO
Objetivo
Avaliar os efeitos do salto em meio aquático, na nocicepção e no músculo sóleo, em ratos Wistar treinados e não treinados, no tratamento de neuropatia compressiva do nervo isquiático.
Métodos
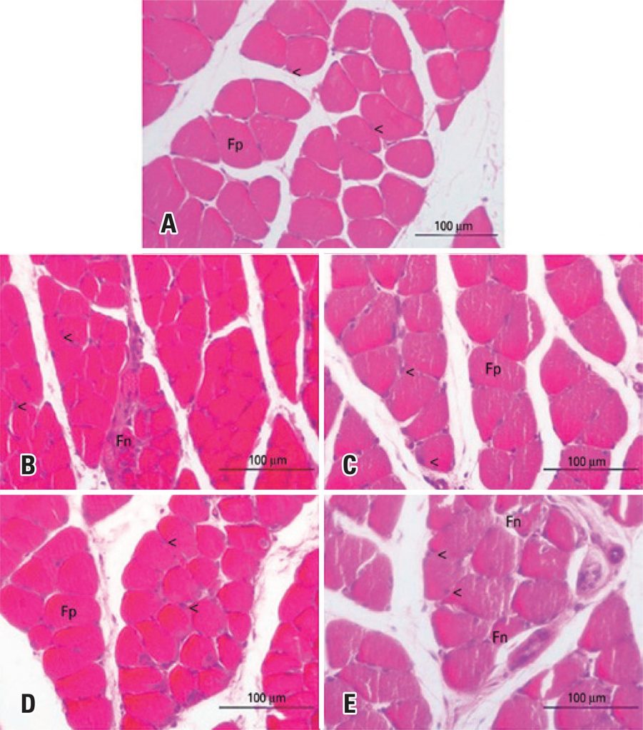
Foram distribuídos em cinco grupos 25 ratos Wistar: Controle, Lesão, Treinado + Lesão, Lesão + Exercício e Treinado + Lesão + Exercício. O treino foi com exercício de salto em meio aquático durante 20 dias, prévio à lesão, e o tratamento ocorreu após a lesão. Foram realizadas avaliações da nocicepção, sendo uma pré-lesão e sete pós-lesão. No último dia de experimento, os músculos sóleos direitos foram coletados, processados e analisados por meio de morfologia e morfometria.
Resultados
Na avaliação da nocicepção no local da lesão, o Grupo Controle apresentou média maior que os demais, e o Grupo Lesão foi maior que os Grupos Treinado + Lesão e Lesão + Exercício. O Grupo Controle apresentou limiar nociceptivo na pata maior com relação aos demais. Nas análises morfométricas, em relação ao Grupo Controle, todos os grupos lesionados apresentaram diminuição da área da fibra muscular; o Grupo Lesão apresentou-se menor que os Grupos Treinado + Lesão e Lesão + Exercício. No diâmetro da fibra muscular, o Grupo Controle apresentou média maior que os Grupos Treinado + Lesão e Treinado + Lesão + Exercício, e o Grupo Lesão apresentou média menor que os Grupos Treinado + Lesão e Lesão + Exercício.
Conclusão
O exercício físico resistido produziu aumento da nocicepção. Quando realizado previamente ou após a lesão nervosa, mostrou-se eficaz em evitar a hipotrofia. A associação dos dois protocolos levou à diminuição do diâmetro e da área da fibra muscular.
Palavras-chave: Nervo isquiático/patologia; Músculo esquelético; Modalidades de fisioterapia; Dor; Ratos Wistar
361

