einstein (São Paulo). 17/dez/2025;24:eRW1487.
Proposing the ValvUS approach: integrating bedside tests and ultrasonography for severe valvular heart disease diagnosis
DOI: 10.31744/einstein_journal/2026RW1487
ABSTRACT
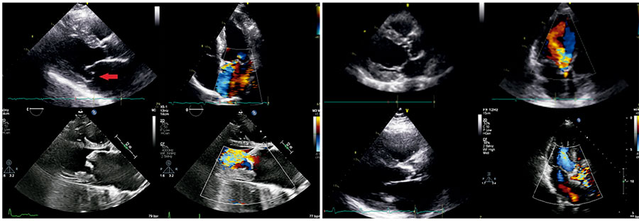
Valvular heart disease is increasingly prevalent, and bedside confirmation or exclusion of severe disease is needed to enable a rapid and cost-effective diagnostic workup. The physical examination skills of clinicians are insufficient for accurate diagnosis, making complementary tests generally necessary. Despite being commonly requested, electrocardiography and chest radiography present low positive and negative likelihood ratios. Incipient studies involving artificial intelligence have shown promising opportunities to support the diagnosis. In addition, solid current evidence demonstrates that point-of-care ultrasound enhances bedside diagnosis of several cardiovascular conditions. Echocardiographic skills can be acquired after only a few hours of training, which encourages routine bedside use with handling equipment. Despite the routine use of sonography in emergencies, large-scale simplified screening protocols for valvular disease remain lacking. Therefore, improving the accuracy of valvular heart disease diagnosis by integrating all bedside modalities needs to be better understood. We propose a simple, reproducible five-step point-of-care ultrasound protocol for diagnosing valvular heart disease (the ValvUS approach), applicable to all patients. The proposed visual assessment involves evaluating valvular movement, thickness, regurgitant flow, aliasing, and chamber dimensions. This evaluation should be interpreted in the context of traditional clinical probability to ensure the most accurate bedside diagnosis. Typical findings of severe valvular disease on electrocardiography and chest radiography, and particularly on point-of-care ultrasound, may improve the accuracy of bedside diagnosis after clinical assessment in the near future.
42

