einstein (São Paulo). 02/maio/2019;17(3):eAI4516.
Pneumopericárdio: um caso raro de parada cardiorrespiratória
DOI: 10.31744/einstein_journal/2019AI4516
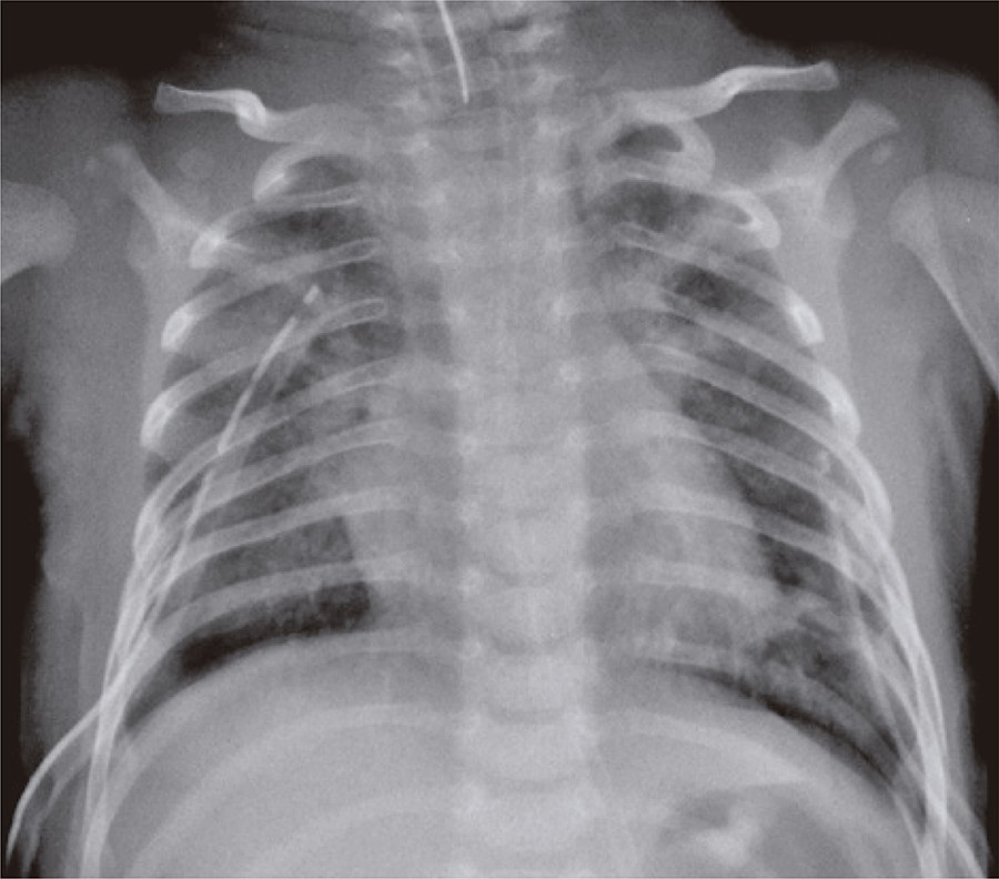
Um lactente de 37 dias de vida, do sexo masculino, previamente hígido e sem intercorrências durante período perinatal, foi admitido em unidade de terapia intensiva pediátrica com insuficiência ventilatória aguda devido à bronquiolite viral pelo vírus sincicial respiratório. Foi submetido à intubação traqueal por deterioração clínica, sendo realizada sequência rápida de intubação com fentanil, cetamina e succinilcolina. Durante o procedimento, apresentou tosse, rigidez torácica, diminuição da ausculta pulmonar e má perfusão tecidual. Persistiu com piora clínica, culminando com parada cardiorrespiratória em assistolia, revertida com compressões torácicas e duas doses de epinefrina endovenosa. Posteriormente, apresentou nova parada cardiorrespiratória, agora com suspeita de pneumotórax hipertensivo. Foi realizada toracocentese de alívio com melhora importante da ausculta pulmonar e dos sinais de má perfusão periférico. Após drenagem torácica bilateral teve seus parâmetros ventilatórios diminuídos, porém persistia com má perfusão tecidual, moteamento de pele, pulsos finos, hipotensão e ausculta cardíaca com hipofonese de bulhas. O exame radiológico de tórax confirmou pneumopericárdio hipertensivo (), resolvido com pericardiocentese e drenagem de 40mL de ar do espaço pericárdico (). O paciente teve boa evolução clínica após procedimento, permanecendo em ventilação mecânica por 6 dias e recebendo alta hospitalar em 13 dias sem sequelas aparentes.
[…]
1.799

