A revista einstein (São Paulo) - e-ISSN 2317-6385 é dedicada à divulgação de conteúdo científico de alta qualidade para o avanço da nossa compreensão das doenças humanas e com o objetivo de melhorar a prevenção, o cuidado, o diagnóstico e o tratamento de pacientes em todo o mundo.
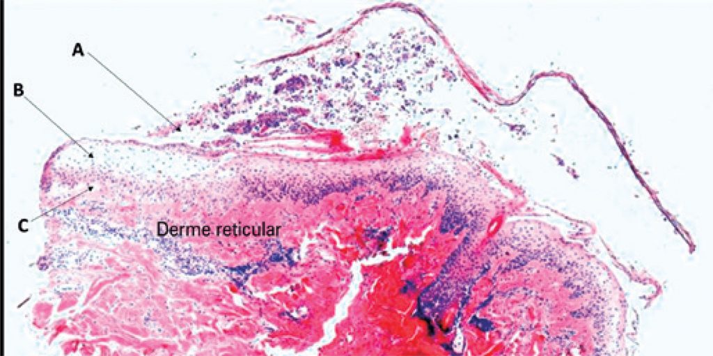
Considerando o desafio do diagnóstico clínico de lesões cutâneas de apresentação bolhosa, o presente trabalho procurou discutir as alterações histológicas, a apresentação e o raciocínio clínico para o diagnóstico de tais lesões. Paralelamente, a importância da patologia foi revisada na identificação destes quadros. Neste relato de caso, destaca-se a evolução clínica de um quadro de pênfigo foliáceo.
Pênfigo foliáceo como diagnóstico diferencial em lesões vesicobolhosas
FonsecaLAF, AlvesCAXM, AprahamianI, PintoCAL. Pênfigo foliáceo como diagnóstico diferencial em lesões vesicobolhosas. Einstein (São Paulo) 2017;15(2):220-2. https://doi.org/10.1590/S1679-45082017RC3828
Fonseca,Louise de Almeida Ferreira; Alves,Célia Antônia Xavier de Moraes; Aprahamian,Ivan; Pinto,Clóvis Antônio Lopes. Pênfigo foliáceo como diagnóstico diferencial em lesões vesicobolhosas. Einstein (São Paulo), v. 15, n. 2, p. 220-222, abr. 2017. https://doi.org/10.1590/S1679-45082017RC3828
Fonseca,L.A.F., Alves,C.A.X.M., Aprahamian,I., & Pinto,C.A.L. (2017). Pênfigo foliáceo como diagnóstico diferencial em lesões vesicobolhosas. Einstein (São Paulo),15(2), 220-222. https://doi.org/10.1590/S1679-45082017RC3828
Fonseca,Louise de Almeida Ferreira and Alves,Célia Antônia Xavier de Moraes and Aprahamian,Ivan and Pinto,Clóvis Antônio Lopes. Pênfigo foliáceo como diagnóstico diferencial em lesões vesicobolhosas. Einstein (São Paulo) [online]. 2017, vol. 15, n. 2, [cited 2026-05-29], pp.220-222. Available from: <https://journal.einstein.br/pt-br/article/penfigo-foliaceo-como-diagnostico-diferencial-em-lesoes-vesicobolhosas/>. ISSN 1679-4508. https://doi.org/10.1590/S1679-45082017RC3828