einstein (São Paulo). 02/ago/2021;19:eAO5657.
Estudo das fibras musculares dos músculos extensor longo dos dedos e sóleo de fêmeas C57BL/6 expostas ao glifosato durante a prenhez e a lactação
DOI: 10.31744/einstein_journal/2021AO5657
RESUMO
Objetivo
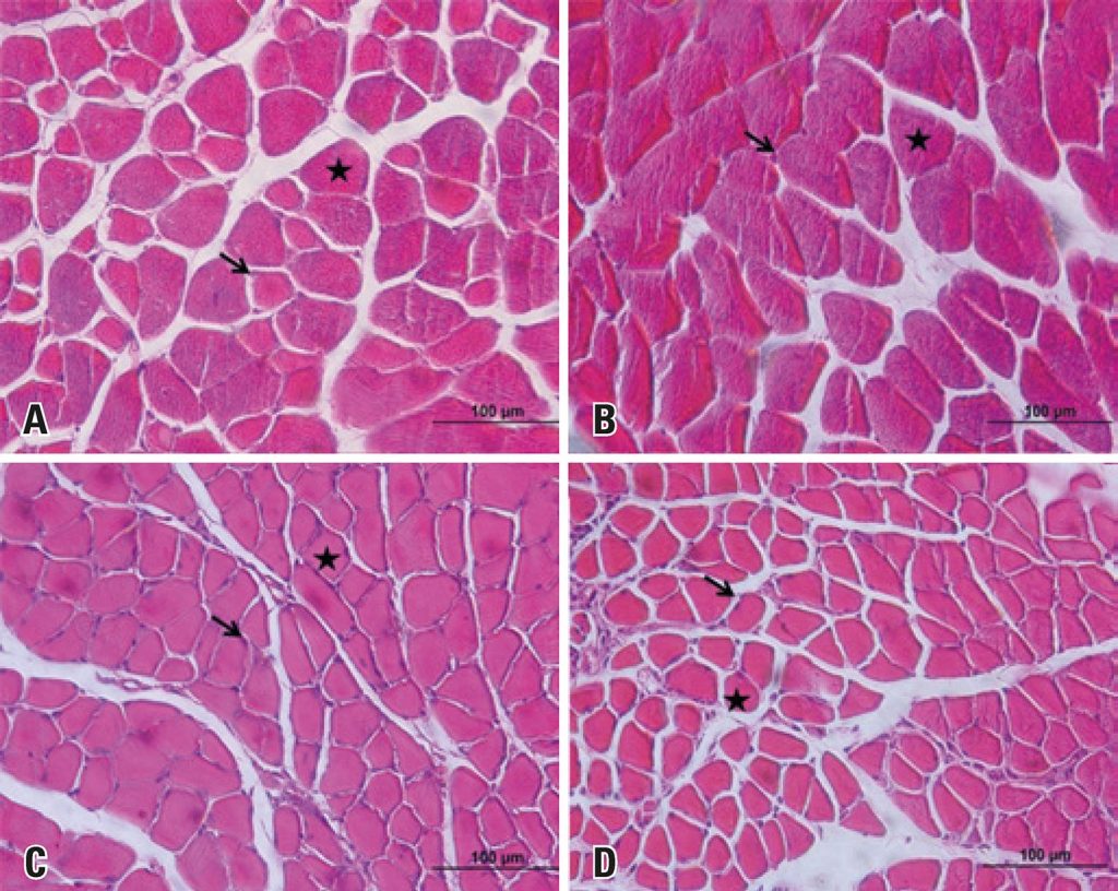
Avaliar a morfologia e a morfometria dos músculos extensor longo dos dedos e sóleo de fêmeas C57BL/6 expostas ao glifosato durante a prenhez e lactação.
Métodos
Foram utilizados 12 camundongos fêmeas da linhagem C57BL/6. Após detecção da prenhez, foram separadas em Grupo Controle, que recebeu somente água, e Grupo Glifosato, que recebeu água com 0,5% de glifosato durante a prenhez e lactação. Ambos os grupos receberam dieta padrão ad libitum. Após o desmame, as fêmeas foram eutanasiadas e pesadas; o comprimento nasoanal foi mensurado, e as gorduras foram coletadas e pesadas. Os músculos extensor longo dos dedos e sóleo foram coletados, e seu comprimento e peso foram mensurados. Em seguida, os músculos foram fixados em Methacarn para a realização do estudo histológico das fibras musculares.
Resultados
O Grupo Glifosato apresentou menor ganho de peso durante a prenhez e também menor peso corporal final e comprimento nasoanal, entretanto os demais parâmetros corporais avaliados não apresentaram diferença significativa em relação ao Grupo Controle. Na análise das fibras musculares e do tecido conjuntivo, também não foram observadas diferenças significativas.
Conclusão
A exposição a 0,5% de glifosato durante a prenhez e lactação resultou em menor ganho de peso na gestação, peso final e comprimento nasoanal, o que pode indicar que, apesar de não alterar a morfologia do tecido muscular diretamente, a exposição foi suficiente para interferir no metabolismo dos animais.
432

