einstein (São Paulo). 18/nov/2014;12(4):502-4.
Cistectomia com reconstrução de neobexiga ortotópica ileal para tratamento de bexiga contraída após aplicação de bacilo de Calmette-Guérin intravesical
DOI: 10.1590/S1679-45082014RC2794
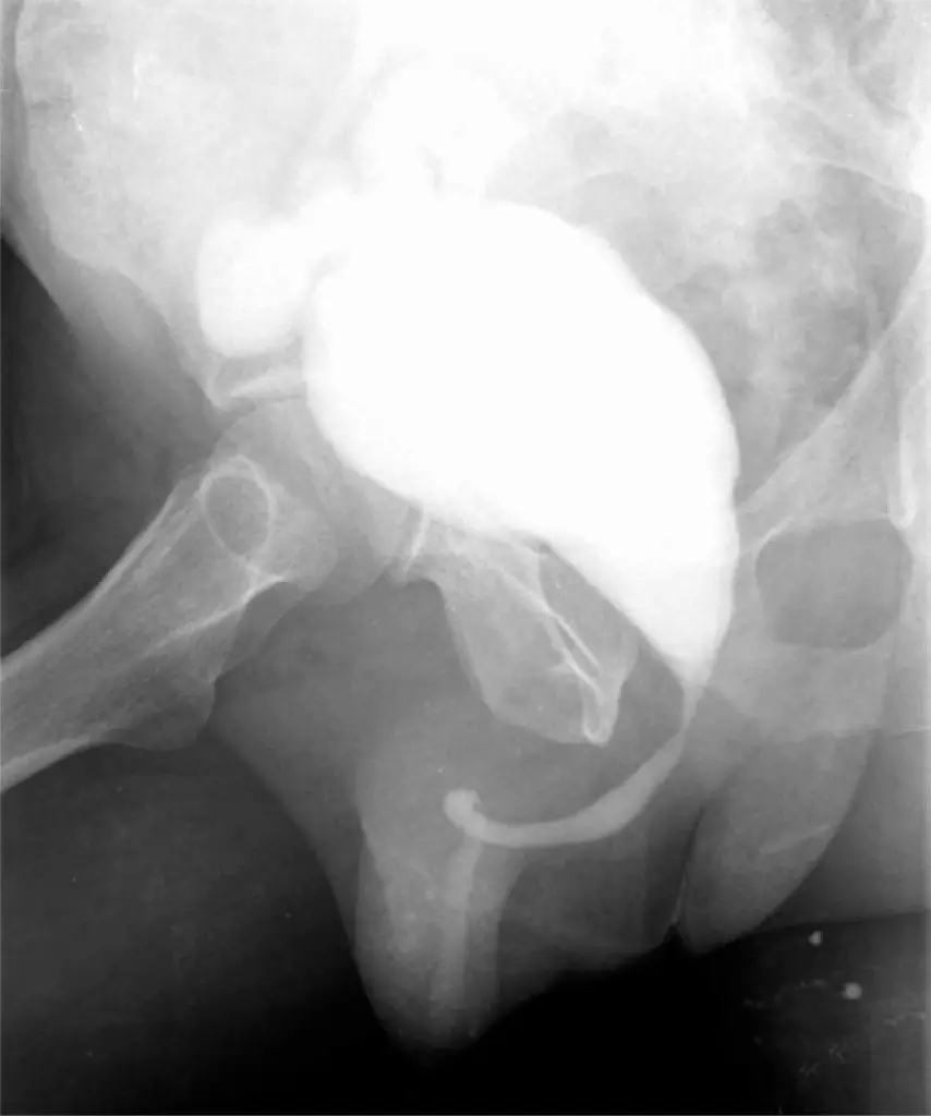
O câncer de bexiga é um importante problema de saúde mundial, tanto pelas elevadas taxas de prevalência, quanto pelos custos relacionados ao tratamento. Desde a introdução da imunoterapia intravesical adjuvante com bacilo Calmette-Guérin, vem sendo observada diminuição na taxa de recorrência. As principais complicações são de pequeno porte e simples resolução a partir de medidas locais e orientações. A bexiga contraída, uma complicação local rara e grave, mas incapacitante em alguns casos, é observada principalmente em doentes com um programa de manutenção. Relatamos aqui o caso de um paciente masculino submetido a ressecção transuretral da bexiga por um carcinoma urotelial T1 de alto grau, que desenvolveu tal complicação durante tratamento com bacilo Calmette-Guérin, sendo portanto submetido à cistoprostatectomia com realização de neobexiga ortotópica ileal.
Palavras-chave: Neoplasias da bexiga urinária; Vacina BCG; Administração intravesical; Cistectomia; Relatos de casos
1.352

