einstein (São Paulo). 18/jun/2020;18:eRW5741.
Achados da COVID-19 identificados na tomografia computadorizada de tórax: ensaio pictórico
DOI: 10.31744/einstein_journal/2020RW5741
RESUMO
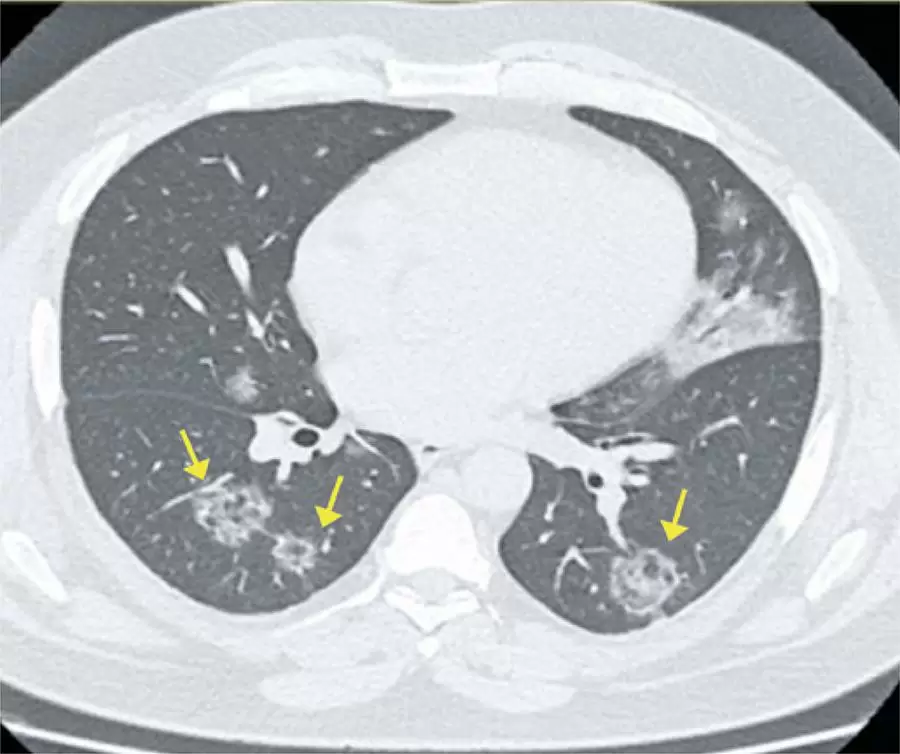
A doença causada pelo novo coronavírus, ou COVID-19, foi descrita recentemente e tornou-se uma questão de saúde mundial. Seu diagnóstico de certeza é dado pela reação em cadeia da polimerase. A tomografia computadorizada de alta resolução, entretanto, mostra-se útil no contexto atual de pandemia, especialmente nos casos mais graves, na avaliação da extensão da doença, em possíveis diagnósticos diferenciais e na pesquisa de complicações. Em pacientes com quadro clínico suspeito e achados de imagem típicos, nos quais ainda não há resultado laboratorial ou a reação em cadeia da polimerase não se encontra disponível, ainda se discute o papel desse exame. Importante ressaltar que parte dos pacientes apresenta exames laboratoriais falsos-negativos, notadamente em casos iniciais, o que pode retardar medidas de isolamento, favorecendo a propagação da doença. Dessa forma, o conhecimento da COVID-19 e de suas manifestações nos exames de imagem é de extrema importância para os médicos envolvidos no atendimento, sejam clínicos ou radiologistas.
Palavras-chave: Infecções por coronavírus; Coronavírus; COVID-19; Tomografia computadorizada multidetectores
4.192

