A revista einstein (São Paulo) - e-ISSN 2317-6385 é dedicada à divulgação de conteúdo científico de alta qualidade para o avanço da nossa compreensão das doenças humanas e com o objetivo de melhorar a prevenção, o cuidado, o diagnóstico e o tratamento de pacientes em todo o mundo.
O diagnóstico pré-operatório de tumor carcinoide cístico de pâncreas é importante, por seu potencial de malignidade e possibilidade de ressecção.()
A tomografia computadorizada (TC) e a EE podem não auxiliar no diagnóstico, pois a imagem é quase sempre interpretada como cistoadenoma mucinoso pancreático, como neste caso.
[…]
Tumor carcinoide cístico de pâncreas diagnosticado por punção da parede do cisto guiada por ecoendoscopia: apresentação e diagnóstico incomuns
ColaiacovoR, CastroACF, GancRL, ShiangC, FilippiRZ, Ferrari JuniorP. Tumor carcinoide cístico de pâncreas diagnosticado por punção da parede do cisto guiada por ecoendoscopia: apresentação e diagnóstico incomuns. Einstein (Sao Paulo). 2014;12(2):254-5. https://doi.org/10.1590/S1679-45082014AI2516
Colaiacovo,Rogério; Castro,Ana Carolina Figueiredo de; Ganc,Ricardo Leite; Shiang,Christina; Filippi,Renée Zon; Ferrari Junior,Ângelo Paulo. Tumor carcinoide cístico de pâncreas diagnosticado por punção da parede do cisto guiada por ecoendoscopia: apresentação e diagnóstico incomuns. Einstein (Sao Paulo)., v. 12, n. 2, p. 254-255, abr. 2014. https://doi.org/10.1590/S1679-45082014AI2516
Colaiacovo,R., Castro,A.C.F. , Ganc,R.L., Shiang,C., Filippi,R.Z., & Ferrari Junior,P. (2014). Tumor carcinoide cístico de pâncreas diagnosticado por punção da parede do cisto guiada por ecoendoscopia: apresentação e diagnóstico incomuns. Einstein (Sao Paulo).,12(2), 254-255. https://doi.org/10.1590/S1679-45082014AI2516
Colaiacovo,Rogério and Castro,Ana Carolina Figueiredo de and Ganc,Ricardo Leite and Shiang,Christina and Filippi,Renée Zon and Ferrari Junior,Ângelo Paulo. Tumor carcinoide cístico de pâncreas diagnosticado por punção da parede do cisto guiada por ecoendoscopia: apresentação e diagnóstico incomuns. Einstein (Sao Paulo). [online]. 2014, vol. 12, n. 2, [cited 2026-05-11], pp.254-255. Available from: <https://journal.einstein.br/pt-br/article/tumor-carcinoide-cistico-de-pancreas-diagnosticado-por-puncao-da-parede-do-cisto-guiada-por-ecoendoscopia-apresentacao-e-diagnostico-incomuns/>. ISSN 1679-4508. https://doi.org/10.1590/S1679-45082014AI2516
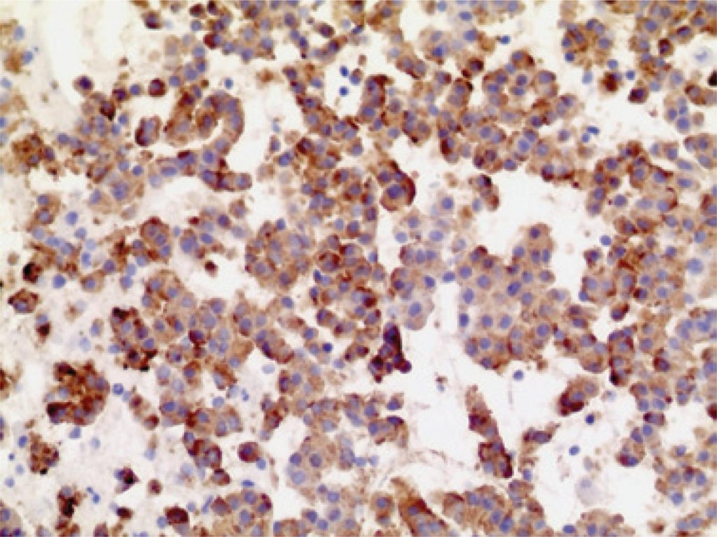
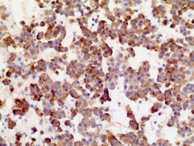
Figura 4
Centrifugado (“cell-block”) da punção aspirativa por agulha fina mostra numerosas células epiteliais com núcleos arredondados, cromatina em aspecto de “sal e pimenta” e citoplasma eosinofílico (hematoxilina-eosina, 10x). Imuno-histoquímica positiva para tumor neuroendócrino
Centrifugado (“cell-block”) da punção aspirativa por agulha fina mostra numerosas células epiteliais com núcleos arredondados, cromatina em aspecto de “sal e pimenta” e citoplasma eosinofílico (hematoxilina-eosina, 10x). Imuno-histoquímica positiva para tumor neuroendócrino