einstein (São Paulo). 18/mar/2020;18:eRC5273.
Tireoidite supurativa espontânea aguda causada por Eikenella corrodens acompanhada de tireotoxicose
DOI: 10.31744/einstein_journal/2020RC5273
RESUMO
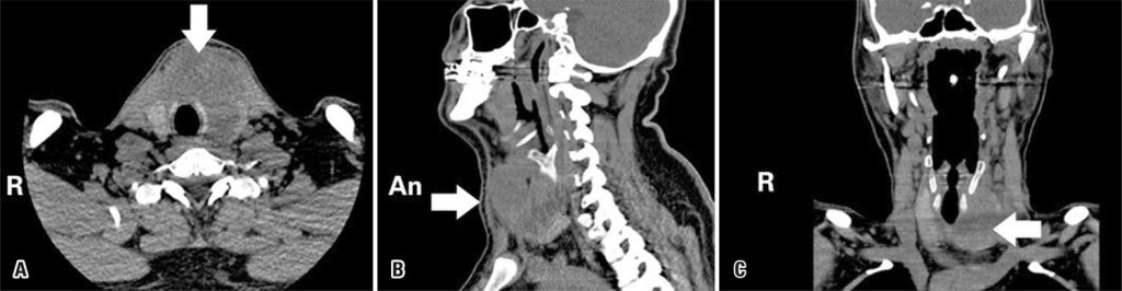
A tireoidite supurativa aguda é uma emergência endócrina muito rara e com risco de vida. A tireotoxicose é uma doença rara, que acompanha a tireoidite supurativa aguda. A maioria dos casos descritos na literatura tem diferentes causas, mas o desenvolvimento espontâneo é muito raro. Relatamos o caso de um paciente com tireoidite supurativa aguda, que veio a nossa clínica apresentando achados tireotóxicos, e o comparamos com a literatura. Trata-se de paciente do sexo masculino, 31 anos, que foi internado em nossa clínica com queixa de dor progressiva, edema e vermelhidão na linha média do pescoço, febre e palpitações. Ao exame físico, foram observados edema, vermelhidão e sensibilidade à dor na região do pescoço, consistente com a localização da tireoide. Apresentava tremor de mãos, taquicardia e agitação. Embora os exames de função tireoidiana fossem compatíveis com tireotoxicose, houve achados que sustentavam a presença de infecção nos exames bioquímicos. Nas avaliações radiológicas, observou-se lesão heterogênea dividida por pequenos septos, com áreas de consolidação no lobo tireoidiano esquerdo. Na biópsia por aspiração por agulha fina, foi possível aspirar apenas 2mL de líquido purulento, devido à presença de pequenas áreas de consolidação separadas umas das outras. Iniciaram-se antibioticoterapia, administração de propranolol e esteroides, além de tratamento sintomático. Eikenella corrodens cresceu na cultura do antibiograma. A antibioticoterapia foi estendida por 14 dias devido à melhora nos sintomas e dos valores bioquímicos. Após o tratamento, o paciente se apresentava eutireoideo, com melhora na febre e na vermelhidão no pescoço, sendo então acompanhado. Deve-se ter em mente que a tireoidite supurativa aguda pode se desenvolver espontaneamente com achados de tireotoxicose, sem nenhum fator de risco.
Palavras-chave: Tireoidite; Tireotoxicose; Eikenella corrodens; Pescoço
739

