A revista einstein (São Paulo) - e-ISSN 2317-6385 é dedicada à divulgação de conteúdo científico de alta qualidade para o avanço da nossa compreensão das doenças humanas e com o objetivo de melhorar a prevenção, o cuidado, o diagnóstico e o tratamento de pacientes em todo o mundo.
Os tumores de uretra são muito raros e bastante agressivos. Acometem mais frequentemente homens (2:1) e são mais comuns na raça branca (85% dos casos). Os sarcomas de tecidos moles são um grupo heterogêneo de tumores que surgem a partir da mesoderme embrionária e representam 1% de todos os casos de doença maligna urinária, raramente acometendo a uretra primariamente. Relamos aqui um caso extremamente raro de sarcoma uretral masculino com somente dois semelhantes publicados na literatura.
Sarcoma de uretra masculina: relato de caso e revisão de literatura
NogueiraMA, SantosGCL, LopesRI, CamposOHA, Dall'OglioMF, Sant'AnnaAC. Sarcoma de uretra masculina: relato de caso e revisão de literatura. Einstein (Sao Paulo). 2015;14(1):64-6. https://doi.org/10.1590/S1679-45082015RC2992
Nogueira,Magno Almeida; Santos,Guilherme Campelo Lopes dos; Lopes,Roberto Iglesias; Campos,Octavio Henrique Arcos; Dall'Oglio,Marcos Francisco; Sant'Anna,Alexandre Crippa. Sarcoma de uretra masculina: relato de caso e revisão de literatura. Einstein (Sao Paulo)., v. 14, n. 1, p. 64-66, set. 2015. https://doi.org/10.1590/S1679-45082015RC2992
Nogueira,M.A., Santos,G.C.L. , Lopes,R.I., Campos,O.H.A., Dall'Oglio,M.F., & Sant'Anna,A.C. (2015). Sarcoma de uretra masculina: relato de caso e revisão de literatura. Einstein (Sao Paulo).,14(1), 64-66. https://doi.org/10.1590/S1679-45082015RC2992
Nogueira,Magno Almeida and Santos,Guilherme Campelo Lopes dos and Lopes,Roberto Iglesias and Campos,Octavio Henrique Arcos and Dall'Oglio,Marcos Francisco and Sant'Anna,Alexandre Crippa. Sarcoma de uretra masculina: relato de caso e revisão de literatura. Einstein (Sao Paulo). [online]. 2015, vol. 14, n. 1, [cited 2026-05-08], pp.64-66. Available from: <https://journal.einstein.br/pt-br/article/sarcoma-de-uretra-masculina-relato-de-caso-e-revisao-de-literatura/>. ISSN 1679-4508. https://doi.org/10.1590/S1679-45082015RC2992
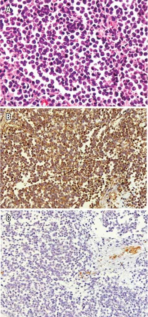
Figura 3
(A) Sarcoma uretral de alto grau; (B) Imuno-histoquímica que revelou forte positividade de vimentina; (C) O tumor uretral também apresentava positividade para desmina
(A) Sarcoma uretral de alto grau; (B) Imuno-histoquímica que revelou forte positividade de vimentina; (C) O tumor uretral também apresentava positividade para desmina