einstein (São Paulo). 07/nov/2023;21:eAI0445.
Reversible cerebral vasoconstriction syndrome related to extracranial dissection associated with COVID-19: an immunological trigger?
DOI: 10.31744/einstein_journal/2023AI0445
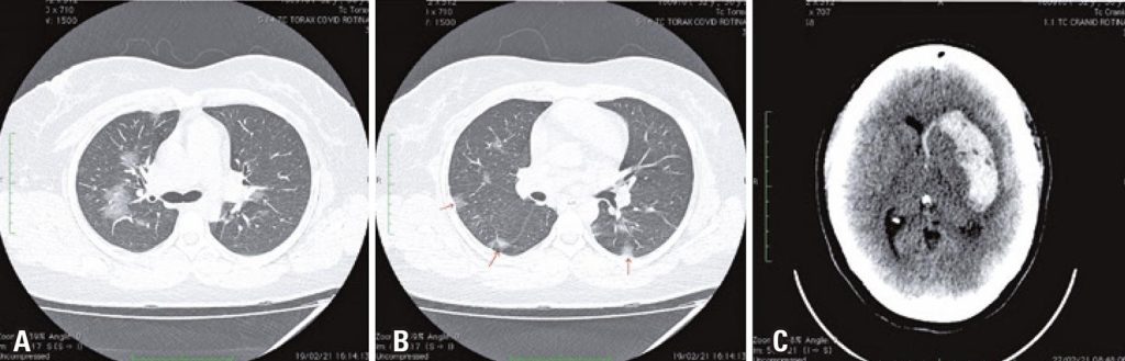
A 30-year-old woman had respiratory symptoms and a positive RT-PCR SARS-CoV-2 test. Chest computed tomography (CT) revealed 30-50% lung parenchymal involvement (), suggestive of viral pneumonia. Six days later, she presented with a thunderclap headache, right hemiplegia, and decreased consciousness. CT of the head revealed a large left parenchymal intracerebral hemorrhage (ICH) (), and the patient underwent a decompressive craniotomy. Cerebral angiography showed segmental narrowings followed by dilations in the V2 and V3 segments of the right and left vertebral arteries, suggesting bilateral vertebral artery dissection (VAD). No history of trauma or connective tissue disorders was noted. Furthermore, a mild segmental narrowing followed by a normal appearance in both the left posterior inferior cerebellar artery and distal branches of the left middle cerebral artery was observed, which, in this context, was suggestive of reversible cerebral vasoconstriction syndrome (RCVS) ( ). She had received corticosteroid therapy for COVID-19 and was not taking any anticoagulant or antiaggregant medications. She had a poor outcome and was classified with modified Rankin Scale 5 at discharge.
[…]
147

