einstein (São Paulo). 29/maio/2020;18:eAI5750.
Pneumonia pelo novo coronavírus e tromboembolismo pulmonar agudo: casualidade ou causalidade?
DOI: 10.31744/einstein_journal/2020AI5750
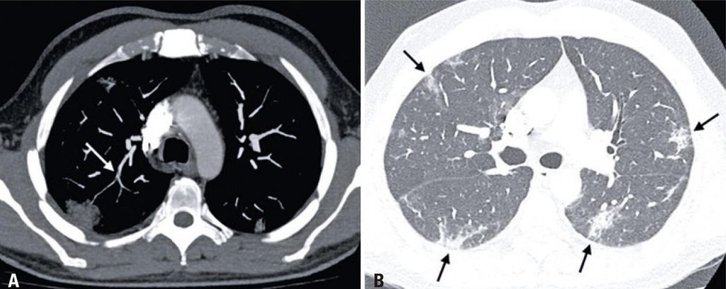
Motivo de grande preocupação no cenário global atual, a pandemia pelo novo coronavírus (COVID-19) tem sido um dos grandes motivos da realização de tomografias computadorizadas de tórax, seja na avaliação inicial ou no controle evolutivo. Esses pacientes apresentam aumento do dímero D, achado provavelmente relacionado a um estado de hipercoagulabilidade e que marca pior prognóstico.( )A seguir, ilustramos dois casos de pacientes com confirmação laboratorial de infecção pelo coronavírus e sinais de tromboembolismo pulmonar (TEP) – associação já descrita.( , )
Paciente do sexo masculino, 49 anos, encaminhado para angiotomografia do tórax devido à piora da dispneia, surgimento de dor torácica e elevação do dímero D (711ng/dL) no sétimo dia de internação. Evidenciou-se falha de enchimento em ramo arterial segmentar do lobo superior direito, compatível com TEP ( ), bem como alterações típicas para a pneumonia pelo coronavírus ( ).( , )
[…]
5.659

