einstein (São Paulo). 19/maio/2015;13(4):642-3.
Pneumomediastino espontâneo neonatal e o sinal de Spinnaker
DOI: 10.1590/S1679-45082015AI3133
O pneumomediastino num recém-nascido de termo é associado a aspiração meconial, pneumonia, doença das membranas hialinas, ventilação mecânica ou a traumatismos relacionados com o parto. O pneumomediastino espontâneo em recém-nascido é raro. A seguir, apresentamos os exames imagiológicos fundamentais para o diagnóstico num caso clínico de pneumomediastino em recém-nascido.(,)
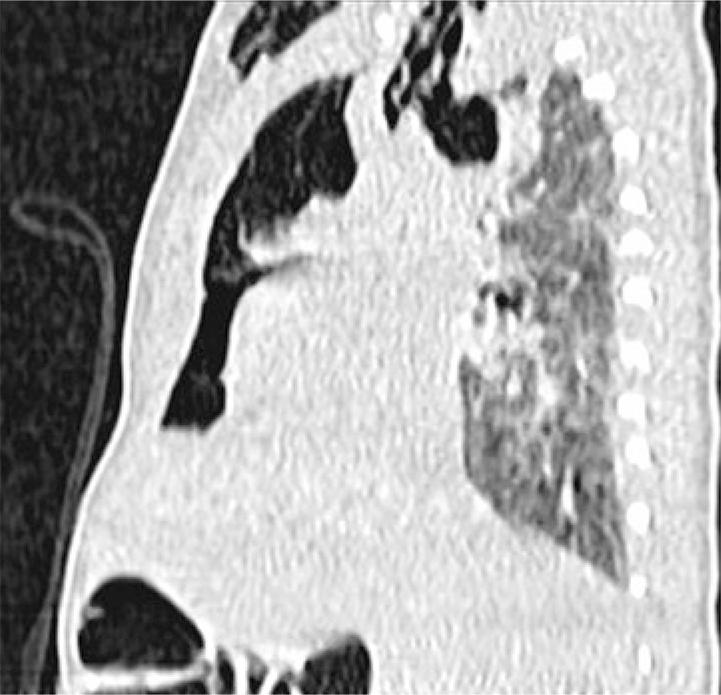
O exame radiológico apresentado pertence a um recém-nascido cuja gravidez foi vigiada e decorreu sem intercorrências. Nasceu por ventosa com 38 semanas, com choro imediato e índice de Apgar 9/10. Foi diagnosticado, no primeiro dia de vida, com enfisema subcutâneo na face anterossuperior do tórax. Efetuou uma radiografia de tórax que mostrou enfisema subcutâneo cervical e sinal de “vela de Spinnaker” (cunha hipotransparente estendendo-se até ao mediastino superior delimitada inferiormente por zona hipertransparente) (). Fez tomografia computorizada, que mostrou enfisema subcutâneo e extenso pneumomediastino, com discreta septação e sem alterações do parênquima pulmonar ( e ). O recém-nascido esteve sempre estável e apresentando boa evolução clínica. Controle radiológico no sétimo dia de vida sem alterações.
[…]
857

