einstein (São Paulo). 27/jan/2021;19:eAI5829.
Hemorragia subepitelial espontânea: lesão de Antopol-Goldman
DOI: 10.31744/einstein_journal/2021AI5829
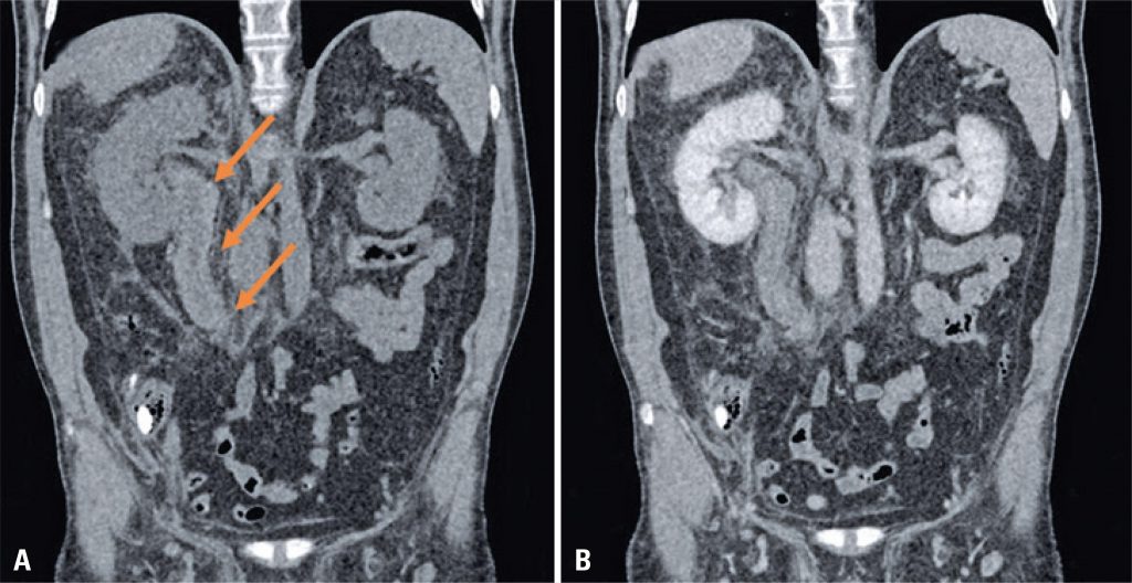
Homem, 55 anos, admitido em serviço de emergência relatando dor aguda no flanco direito. O paciente também se queixava de epitaxe, sangramento gengival e hematúria ao longo dos últimos 3 dias. O exame físico demonstrou hematoma subcutâneo no abdome, com dor à palpação. Sete dias antes desses sintomas, sua dose diária de varfarina fora aumentada. O exame sanguíneo mostrou que a Razão Normalizada Internacional estava marcadamente elevada (3,6; o exame prévio, anterior ao aumento da dosagem, mostrou o índice de 2,2).
Foi solicitada tomografia computadorizada abdominal (), que expôs hiperatenuação e espessamento circunferencial da parede do ureter direito na fase sem contraste, compatível com hematoma expansivo parietal.
[…]
808

