einstein (São Paulo). 01/jan/2014;12(1):132-3.
Dos orifícios e dos seios periauriculares: entendendo o mimetismo
DOI: 10.1590/S1679-45082014AI3020
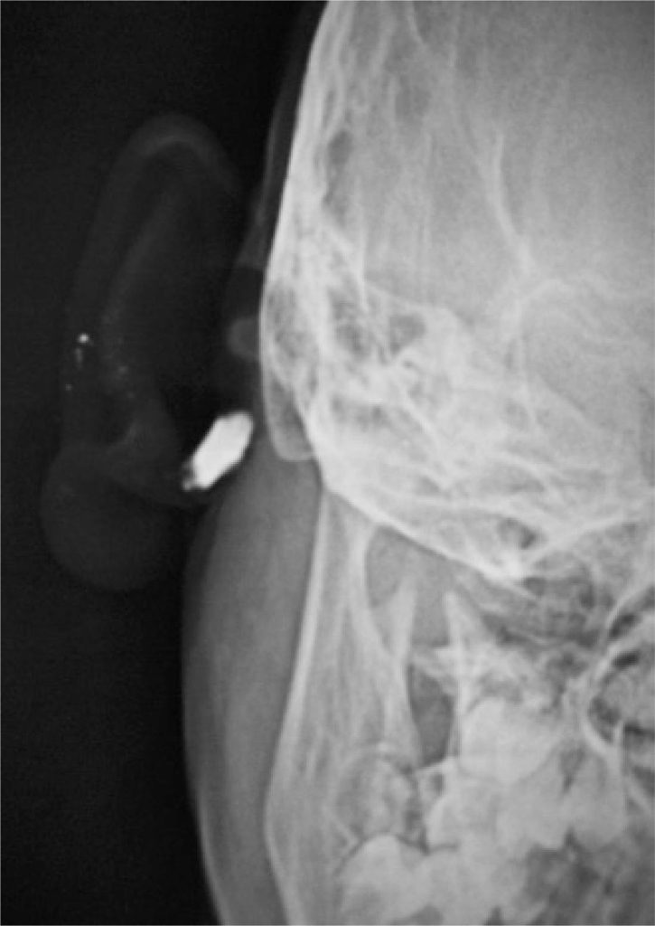
Menina de 8 anos com queixa de saída de secreção intermitente de um orifício situado na face medial do pavilhão auricular direito desde a tenra infância. A secreção era em pequena quantidade, com mal odor, aspecto mucoide e ocasionalmente purulenta. Aumentou a frequência no último ano, com o desenvolvimento um inchaço, logo abaixo do orifício, que inflamou muitas vezes e causou dor. Ao exame, observou-se uma abertura bem acima lóbulo, em direção a um edema que chegava ao sulco pós-auricular (). Uma área de cicatrização e pigmentação na face lateral do pavilhão auricular, imediatamente próxima ao conduto auditivo externo (CAE) − remanescente de inflamações prévias envolvendo a pele do CAE, foi observada e correspondia à fístula (). Outros orifícios semelhantes e assintomáticas foram vistas na hélix ascendente do pavilhão auricular direito () e esquerdo (). Após controlar a infecção com antibióticos, um raio X de seios da face foi solicitado para avaliar a lesão pós-auricular, o qual mostrou uma fístula em formato de balão no tecido mole de todo pescoço, logo abaixo do processo mastoide e do CAE, e posterior ao ramo da mandíbula (). A fístula foi operada sob anestesia geral. Na cirurgia, observou-se que a fístula tinha fundo cego e terminava pouco antes de invadir o tecido da parótida
[…]
354

