einstein (São Paulo). 01/out/2011;9(4):550-1.
Citomegalovirose congênita
DOI: 10.1590/S1679-45082011AI1687
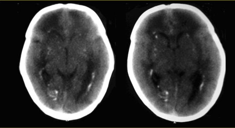
Recém-nascido com idade gestacional de 37 semanas e 2 dias, de parto normal, do sexo feminino, admitido em Unidade de Terapia Intensiva Neonatal (UTIN) em dia 11 de Julho de 2009. Pesava 2.030 g; estatura 41,0 cm; perímetro cefálico 31,0 cm; boletim Apgar 8, 9 e 9, no 1°, 5° e 10° minutos, respectivamente. Teve como hipótese diagnóstica na admissão toxoplasmose congênita, devido à história materna (sorologia para toxoplasmose IgG positiva e IgM positiva com avidez de 85% no primeiro trimestre do pré-natal). A ultrassonografia (US) gestacional morfológica do primeiro trimestre mostrava calcificações intracranianas. O recém-nascido apresentava restrição de crescimento intrauterino, esplenomegalia, petéquias e plaquetopenia. Introduziu-se tratamento para toxoplasmose com sulfadiazina, pirimetamina e ácido folínico. A tomografia de crânio mostrou múltiplos focos de calcificações periventriculares bilaterais e nos núcleos da base. Devido a esses achados, foi pedida sorologia para citomegalovírus na mãe e na criança, cujos resultados foram os seguintes: na puérpera, IgM não reagente, IgG reagente; no recém-nascido, IgM e IgG reagentes. Realizadas pesquisas para células de inclusão ctitomegálica na urina do recém-nascido e reação em cadeia da polimerase (PCR), com resultados positivos. O recém-nascido recebeu alta hospitalar sendo encaminhado para ambulatório para receber tratamento com ganciclovir.
As infecções congênitas, sífilis, toxoplasmose, rubéola, citomegalovirose e herpes, que correspondem ao acrônimo STORCH, podem se caracterizar por sintomas comuns: restrição de crescimento intrauterino; hepatoesplenomegalia; icterícia com aumento de bilirrubina direta; anemia; petéquias; lesão de pele e mucosas; encefalite; pneumonia e trombocitopenia(,). Para diagnóstico das STORCH, sorologia com pesquisa de IgM e IgG, PCR e exames de imagem, são os métodos mais comuns. Na toxoplasmose o quadro é composto principalmente por hidrocefalia ou microcefalia, calcificações cerebrais difusas no córtex cerebral, microftalmia e coriorretinite (associada à microcefalia)(). A citomegalovirose apresenta-se com calcificações periventriculares e, ao exame de fundo de olho, coriorretinite não associada à microftalmia. O herpes pode ser identificado pela presença de herpes genital materno atual.
[…]
785

