einstein (São Paulo). 26/fev/2025;23:eRC0699.
Azacitidine-induced bullous pemphigoid-like localized toxic reaction
DOI: 10.31744/einstein_journal/2025RC0699
ABSTRACT
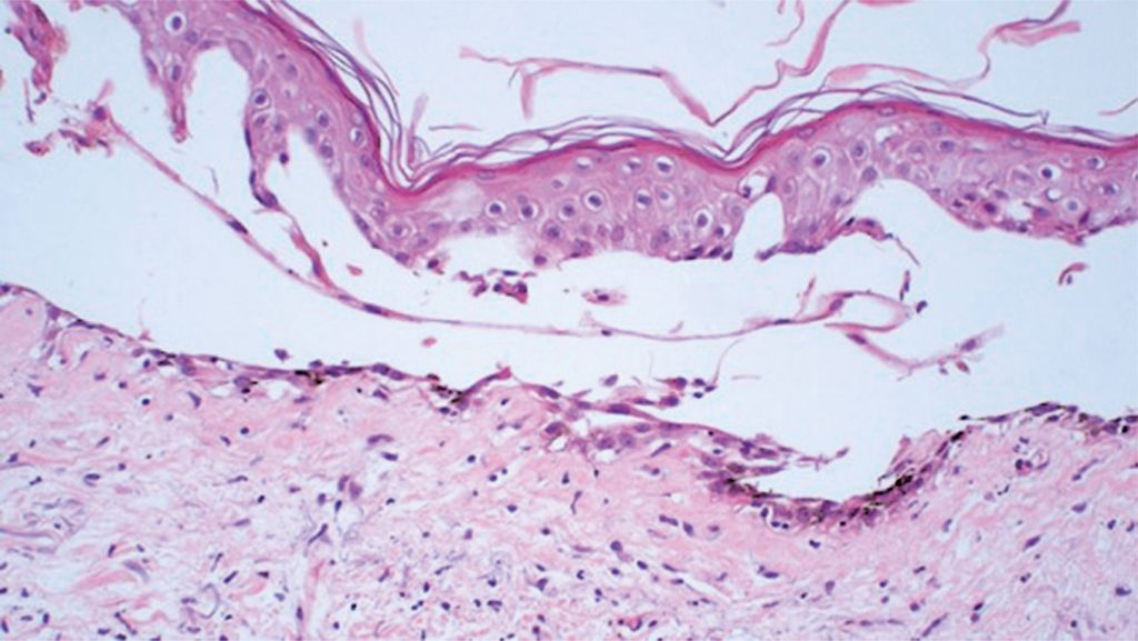
Azacitidine is a hypomethylating agent recommended for the treatment of patients with high-risk myelodysplastic syndromes. Here, we report the case of a patient with myelodysplastic syndrome who was not eligible for allogeneic stem cell transplantation (allo-SCT) and presented with a rare and previously unreported cutaneous side effect after the use of subcutaneous azacitidine. We propose that changing the route of azacitidine administration from subcutaneous to intravenous could potentially decrease the occurrence of bullous pemphigoid-like localized toxic reactions in some patients.
Palavras-chave: Pemphigoid, bullous; Azacitidine; Skin diseases; Myelodysplastic syndromes
181

