A revista einstein (São Paulo) - e-ISSN 2317-6385 é dedicada à divulgação de conteúdo científico de alta qualidade para o avanço da nossa compreensão das doenças humanas e com o objetivo de melhorar a prevenção, o cuidado, o diagnóstico e o tratamento de pacientes em todo o mundo.
Paciente do gênero feminino, 42 anos, com queixas de dificuldade ao urinar e aumento de volume na região vulvar há 1 ano. Ao exame ginecológico, apresentava extensa lesão na região vulvar. Biópsia da lesão foi inconclusiva. Realizou-se a exérese da lesão. A paciente permanece livre de recorrências há 15 meses. Este caso destaca a necessidade de considerar o angiomixoma no diagnóstico diferencial de massas de causa desconhecida na região vulvar.
RibeiroJCCB, VieiraSC, SilvaBB, SantosLG, CostaPVL, FonsêcaLAC. Angiomixoma agressivo da vulva: relato de caso. Einstein (Sao Paulo). 2015;13(2):276-8. https://doi.org/10.1590/S1679-45082015RC2952
Ribeiro,José Carlos Castelo Branco; Vieira,Sabas Carlos; Silva,Benedito Borges da; Santos,Lina Gomes dos; Costa,Pedro Vítor Lopes; Fonsêca,Lia Andréa Costa da. Angiomixoma agressivo da vulva: relato de caso. Einstein (Sao Paulo)., v. 13, n. 2, p. 276-278, jun. 2015. https://doi.org/10.1590/S1679-45082015RC2952
Ribeiro,J.C.C.B., Vieira,S.C., Silva,B.B. , Santos,L.G. , Costa,P.V.L., & Fonsêca,L.A.C. (2015). Angiomixoma agressivo da vulva: relato de caso. Einstein (Sao Paulo).,13(2), 276-278. https://doi.org/10.1590/S1679-45082015RC2952
Ribeiro,José Carlos Castelo Branco and Vieira,Sabas Carlos and Silva,Benedito Borges da and Santos,Lina Gomes dos and Costa,Pedro Vítor Lopes and Fonsêca,Lia Andréa Costa da. Angiomixoma agressivo da vulva: relato de caso. Einstein (Sao Paulo). [online]. 2015, vol. 13, n. 2, [cited 2026-05-29], pp.276-278. Available from: <https://journal.einstein.br/pt-br/article/angiomixoma-agressivo-da-vulva-relato-de-caso/>. ISSN 1679-4508. https://doi.org/10.1590/S1679-45082015RC2952
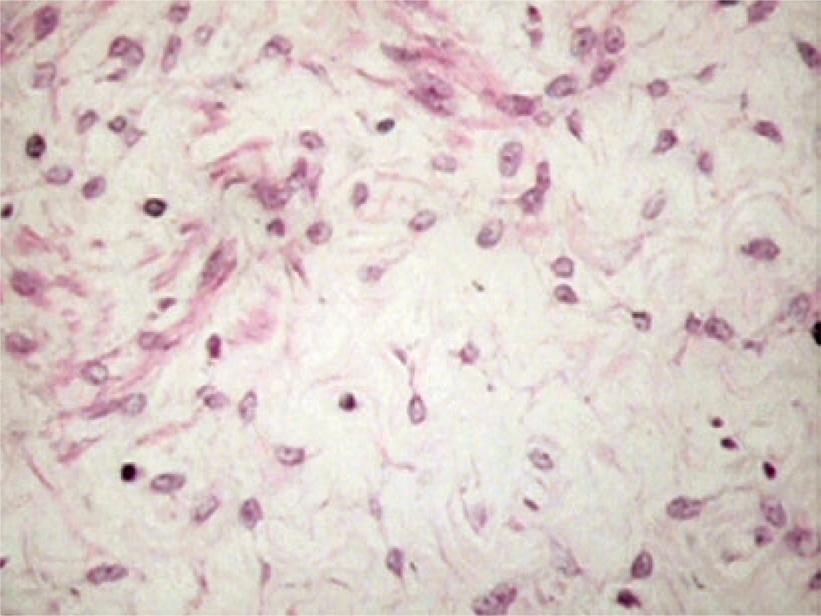
Figura 3
Aparência microscópica do tumor. Vasos de tamanho médio e parede espessada, circundados por uma camada de células estromais de aparência mixoide. Hematoxilina e eosina 200X
Aparência microscópica do tumor. Vasos de tamanho médio e parede espessada, circundados por uma camada de células estromais de aparência mixoide. Hematoxilina e eosina 200X